Sưng nướu là một trong những bệnh về răng miệng phổ biến nhất mà bất cứ ai cũng có thể gặp phải. Nếu tình trạng không quá nghiêm trọng, bạn có thể áp dụng những cách trị sưng nướu răng tại nhà mà không cần đến bác sĩ. Trong bài viết sau, hãy cùng N.K.Luck tìm hiểu về những phương pháp điều trị đơn giản nhưng lại vô cùng hiệu quả này nhé.
Sưng nướu răng là gì? Các dấu hiệu thường gặp
Nướu răng hoặc lợi răng là một phần quan trọng trong hệ thống răng miệng của bạn, bao phủ xương hàm và bảo vệ chân răng khỏi vi khuẩn gây hại. Sưng nướu răng là một triệu chứng phổ biến của bệnh viêm nướu và các bệnh lý về nướu răng khác. Nướu sưng thường gây kích ứng, nhạy cảm và dễ chảy máu khi đánh răng hoặc có bất kỳ tác động nào đến vùng bị sưng.

Nướu răng bị sưng gây ảnh hưởng đến sức khỏe răng miệng
Các dấu hiệu nhận biết nướu răng bị sưng dễ thấy nhất là:
- Màu sắc thay đổi: Nướu bị sưng thường có màu đỏ tía hoặc đỏ sẫm hơn so với màu hồng bình thường của nướu.
- Sưng phồng, nhạy cảm: Vùng nướu sưng có thể trở nên căng phồng, lồi lên và cảm thấy đau khi ăn, nhai hoặc chạm vào.
- Chảy máu khi tác động: Nướu bị sưng thường dễ chảy máu khi bạn chải răng, dùng chỉ nha khoa hoặc khi ăn những thức ăn cứng, giòn.
- Hôi miệng: Khi nướu bị sưng và viêm có thể sinh ra vi khuẩn gây hôi miệng.
Nếu tình trạng sưng nướu kéo dài hơn 2 tuần hoặc trở nên nặng hơn, bạn nên đến khám nha sĩ ngay lập tức để tránh các biến chứng nghiêm trọng như viêm nha chu, áp xe răng.

Nướu sưng ửng đỏ có thể gây chảy máu khi đánh răng
15 nguyên nhân khiến nướu răng bị sưng
Vậy nướu bị viêm sưng xuất phát từ những nguyên nhân nào? Sau đây là những giải đáp chi tiết nhất.
Nướu răng bị sưng là dấu hiệu của bệnh gì?
Theo nha sĩ, nguyên nhân gây sưng nướu răng có thể là dấu hiệu của một số bệnh răng miệng như sau:
- Viêm nướu (viêm lợi răng): Đây là nguyên nhân chính khiến nướu răng bị sưng. Viêm nướu xảy ra khi mảng bám trên răng tích tụ gây kích ứng cho nướu và vi khuẩn sản sinh độc tố, làm nướu sưng to.
- Viêm lợi trùm: Khi răng khôn mọc, mô nướu phát triển và phủ lên một phần răng khôn đang nhú lên. Nếu răng khôn mọc thẳng, tình trạng sưng nướu răng sẽ kết thúc sau vài ngày. Tuy nhiên, nếu răng khôn mọc lệch, cơn đau này sẽ lặp đi lặp lại và việc sử dụng thuốc chỉ giúp giảm đau tạm thời.
- Viêm nha chu: Đây là tình trạng nướu bị viêm nghiêm trọng có các triệu chứng như đau nướu răng, chảy máu hoặc sưng lợi.
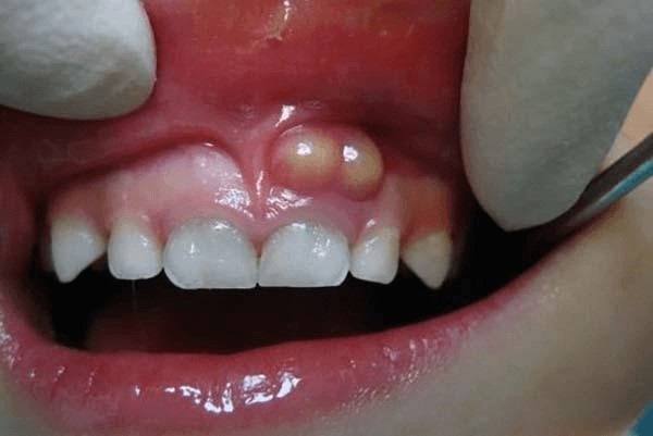
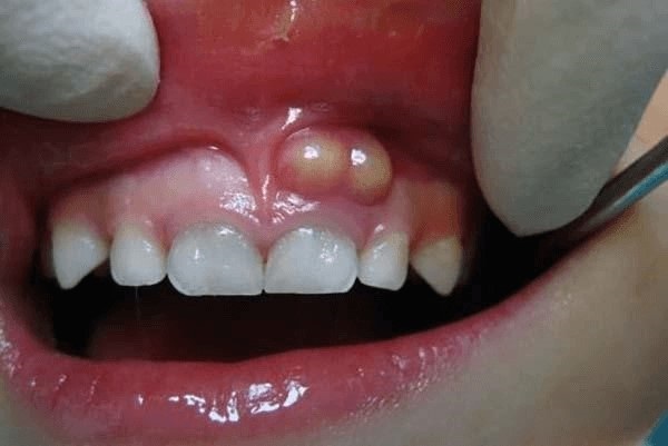
- Áp xe răng: Áp xe răng là một túi mủ do nhiễm vi khuẩn trong nướu răng. Áp xe thường trông giống như vết sưng đỏ, sưng tấy hoặc nổi mụn nhọt.
- Sâu răng hoặc sâu chân răng: Sâu răng là lỗ trên răng phát triển do vi khuẩn gây ăn mòn lớp men răng. Sâu răng có thể gây đau nướu răng, sưng nướu và hôi miệng khi lan sang tủy răng. ( Xem thêm: Nước súc miệng TheraBreath – trị hôi miệng)
- Nhiễm trùng do nấm và vi rút: Nhiễm vi rút Herpes SV1 hoặc bệnh từ răng miệng do nấm Candida có thể gây viêm nướu cấp tính.
Nếu bạn gặp các dấu hiệu này kéo dài hoặc trở nên nghiêm trọng, hãy đến ngay bác sĩ nha khoa để được khám và điều trị kịp thời

Nướu bị sưng là những dấu hiệu bệnh răng miệng nghiêm trọng
Các nguyên nhân khác gây sưng lợi và sưng nướu
Theo các chuyên gia nha sĩ, sưng nướu răng có thể xuất phát từ một số nguyên nhân sau đây:
- Chải răng quá mạnh: Cách chải răng quá mạnh, không đúng kỹ thuật, hoặc sử dụng bàn chải lông cứng có thể làm tổn thương nướu răng và gây sưng nướu.
- Vướng dị vật trong nướu: Các dị vật từ thức ăn như vỏ bỏng ngô, thức ăn dính, xương cá,… có thể mắc lại trong nướu răng và gây sưng đau.
- Răng mọc không đúng vị trí: Răng mọc lệch, chen chúc tạo ra những vị trí khó làm sạch cũng dẫn đến tích tụ mảng bám và sưng nướu.
- Tác dụng phụ của thuốc: Một số loại thuốc có thể gây tác dụng phụ làm sưng nướu. Hãy thảo luận với bác sĩ về các tác dụng của thuốc và đề xuất thuốc thay thế.
- Lấy cao răng không đúng cách: Tự lấy cao răng tại nhà hoặc tại các phòng khám không đảm bảo có thể gây sưng nướu răng.
- Chế độ ăn thiếu chất dinh dưỡng, vitamin: Thiếu chất dinh dưỡng như vitamin B, vitamin C có thể gây sưng nướu. Đặc biệt, thiếu vitamin C có thể gây viêm nướu răng ở tình trạng nặng.
- Thay đổi nội tiết tố khi mang thai: Trong thời kỳ mang thai, thay đổi nội tiết tố ở nữ giới có thể làm tăng khả năng bị sưng nướu.
- Hút thuốc và sử dụng nicotine: Sử dụng thuốc lá có thể gây sưng nướu và nhiều vấn đề sức khỏe răng miệng liên quan khác.
- Thay đổi loại kem đánh răng: Sử dụng nhãn hiệu kem đánh răng hoặc nước súc miệng mới có thể gây phản ứng không tốt vì kích ứng.

Chải răng quá mạnh cũng là nguyên nhân gây sưng nướu
Các vị trí sưng nướu răng thường gặp
Nướu bị sưng có thể xảy ra ở bất kỳ vùng nướu nào trong khoang miệng. Thông thường, một số vị trí bị sưng phổ biến là:
- Sưng chân răng: Các chân răng tiếp xúc với nướu có thể bị sưng nếu không được vệ sinh đúng cách và loại bỏ mảng bám kỹ càng.
- Sưng nướu xung quanh răng cửa: Đây là vị trí thường xuyên bị sưng do mảng bám và vi khuẩn tích tụ trong quá trình ăn uống.
- Sưng nướu răng trong cùng hàm dưới và hàm trên: Nướu răng ở trong cùng của hàm trên và dưới là những vị trí thường bị tác động mạnh do nhai trúng vật cứng gây xước và viêm nhiễm.
- Sưng nướu răng khôn: Khi răng khôn mọc, sưng nướu và đau nhức xương hàm rất dễ mắc phải. Vị trí của răng khôn ở cuối hàm làm cho việc vệ sinh khó khăn, tạo điều kiện cho vi khuẩn tấn công, gây sưng mủ và viêm nhiễm.

Sưng nướu thường xuất hiện chân răng
12 Cách điều trị sưng nướu răng tại nhà hiệu quả
Trước khi tìm kiếm sự hỗ trợ từ bác sĩ, bạn có thể áp dụng nhanh các biện pháp sau đây ngay tại nhà:
Chườm lạnh giảm sưng nướu răng
Sưng nướu răng thường đi kèm với các triệu chứng như đau nhức, nướu đỏ và chảy máu. Phương pháp chườm lạnh giúp giảm đau và giảm sưng nhờ cơ chế co mạch máu, làm chậm lưu lượng máu đến vùng viêm.
Nhiệt độ lạnh còn có tác dụng ức chế hoạt động của các dây thần kinh, giúp giảm cảm giác đau nhức hiệu quả. Để đạt hiệu quả tối ưu, bạn nên chườm đá trong khoảng 10 – 15 phút, tránh thời gian quá lâu để hạn chế nguy cơ bỏng lạnh và tổn thương mô mềm.

Súc miệng bằng nước muối
Nước muối có tính kháng khuẩn, giúp kiềm hóa khoang miệng và giảm viêm hiệu quả.
Cách thực hiện:
- Súc miệng lần đầu trong 30 giây để loại bỏ vi khuẩn bề mặt.
- Súc miệng lần hai trong 60 giây để thẩm thấu và giảm viêm sâu hơn.
- Súc lại bằng nước sạch.
Sử dụng mật ong giảm sưng nướu
Mật ong không chỉ có tác dụng chăm sóc da, hỗ trợ điều trị cảm cúm, ho, mà còn giúp tăng cường sức đề kháng, hỗ trợ điều trị các bệnh răng miệng như sưng nướu, viêm nướu nhờ đặc tính kháng khuẩn và chống viêm hiệu quả.
Cách thực hiện: Dùng tăm bông chấm một ít mật ong, thoa trực tiếp lên vùng nướu bị sưng, để yên khoảng 15 phút, sau đó súc miệng sạch lại với nước.

Giảm sưng nướu bằng trà xanh
Trà xanh có đặc tính thanh nhiệt, giải độc và chứa nhiều chất chống oxy hóa. Đặc biệt, hợp chất tanin trong trà xanh giúp kháng khuẩn, chống viêm, hỗ trợ cải thiện tình trạng sưng nướu hiệu quả.
Cách thực hiện: Nấu nước trà xanh để súc miệng hàng ngày, mỗi lần súc khoảng 30 giây, giúp giảm nhanh tình trạng viêm và đau nướu.
Giảm sưng nướu răng bằng nha đam
Sử dụng nha đam để giảm sưng nướu răng là một cách tự nhiên và hiệu quả với các bước sau:
Bước 1: Rửa sạch lá nha đam và loại bỏ phần vỏ bên ngoài để lấy gel bên trong.
Bước 2: Cắt nhỏ nha đam và thoa đều lên vùng nướu răng bị sưng.
Bước 3: Để gel nha đam thẩm thấu vào nướu răng, bạn có thể thoa trong khoảng 2 – 3 phút sau đó thay bằng một miếng nha đam tươi khác và tiếp tục thoa trong khoảng thời gian tương tự. Lặp lại quá trình này liên tục trong khoảng 30 phút.
Bước 4: Sau khi hoàn thành, súc miệng lại bằng nước sạch trong khoảng thời gian từ 30 giây đến 1 phút để loại bỏ nha đam và các tạp chất trong miệng.
Gừng
Bạn cũng có thể sử dụng gừng để giảm tình trạng sưng nướu với cách sau:
Cách 1: Đập nhuyễn gừng tươi và đắp lên vùng nướu bị sưng trong khoảng 15 – 20 phút. Sau đó, súc miệng bằng nước sạch để loại bỏ gừng và các tạp chất.
Cách 2: Chuẩn bị nước gừng bằng cách cắt lát gừng tươi và ngâm trong nước sôi để đậy nắp. Đợi nguội rồi súc miệng bằng nước gừng này trong khoảng 2 – 3 phút mỗi lần, có thể thực hiện 3 lần/ngày.
Cách 3: Nấu trà gừng bằng cách cho thêm lát gừng tươi vào nước sôi và ngâm trong vài phút trước khi uống. Trà gừng không chỉ có tác dụng làm giảm sưng nướu mà còn giúp kháng viêm và làm ấm cơ thể.

Dùng gừng để điều trị sưng nướu
Nghệ
Để sử dụng nghệ giúp giảm đau do sưng nướu răng, bạn có thể áp dụng các cách sau đây:
Cách 1: Trộn bột nghệ với nước để tạo thành hỗn hợp sệt sau đó thoa lên vùng nướu răng bị sưng và để trong khoảng 3 phút. Cuối cùng, bạn hãy rửa sạch bằng nước ấm để loại bỏ hỗn hợp nghệ.
Cách 2: Rửa sạch và đập nát nghệ tươi để lấy nước cốt sau đó bôi nước cốt nghệ lên vùng nướu bị sưng và để trong 2 – 3 phút trước khi súc miệng bằng nước sạch.
Tinh dầu xạ hương
Để sử dụng tinh dầu xạ hương hỗ trợ điều trị sưng nướu răng, bạn có thể làm như sau:
Bước 1: Nhỏ 2 – 3 giọt tinh dầu xạ hương vào một ly nước ấm.
Bước 2: Sử dụng dung dịch này để súc miệng 2 – 3 lần mỗi ngày. Hãy nhớ không nuốt dung dịch và chỉ sử dụng ngoài mục đích súc miệng.

Dùng tinh dầu xạ hương để súc miệng cũng giúp trị sưng nướu
Mẹo trị sưng nướu bằng chanh tại nhà
Chanh có đặc tính kháng viêm, thường được sử dụng để hỗ trợ điều trị các bệnh nhiễm trùng răng miệng. Ngoài ra, chanh chứa hàm lượng vitamin C cao giúp chống oxy hóa, tăng cường sức đề kháng và ngăn ngừa vi khuẩn gây viêm nhiễm.
Cách thực hiện: Vắt lấy nước cốt chanh, hòa cùng một ít muối, sau đó bôi hỗn hợp này lên vùng nướu bị sưng. Giữ trong khoảng 3 phút rồi súc miệng lại bằng nước sạch.

Giảm sưng nướu bằng tỏi
Tỏi chứa allicin – một hợp chất có tác dụng kháng viêm, thải độc và tăng cường hệ miễn dịch, giúp cải thiện tình trạng sưng nướu nhanh chóng.
Cách thực hiện:
- Cách 1: Rửa sạch tỏi, nhai trực tiếp tại vị trí nướu bị sưng trong 5 – 10 phút, sau đó súc miệng lại với nước.
- Cách 2: Giã nhuyễn tỏi cùng gừng tươi, thêm một ít nước lọc, sau đó bôi hỗn hợp này lên vùng nướu sưng. Đợi 5 – 10 phút rồi súc miệng sạch.
Dùng dầu dừa giảm viêm nướu
Dầu dừa chứa axit lauric có tác dụng kháng khuẩn, kháng viêm, giúp làm dịu và hỗ trợ phục hồi nướu bị sưng. Bạn có thể bôi trực tiếp dầu dừa lên vùng nướu bị sưng, để khoảng 5 – 10 phút rồi súc miệng lại với nước sạch. Thực hiện 2 – 3 lần/ngày cho đến khi tình trạng sưng giảm hẳn.

Các nguyên tắc cần biết khi chữa sưng nướu răng
Để tránh làm tình trạng sưng nướu diễn ra tồi tệ hơn, bạn nên lưu ý những điều sau đây:
Các điều nên làm khi điều trị sưng nướu răng
Hãy lưu ý những việc sau khi điều trị sưng nướu:
- Thực hiện vệ sinh răng miệng đúng cách 2 lần/ngày và sử dụng chỉ nha khoa thường xuyên. Đây là biện pháp quan trọng nhất để khắc phục vấn đề sưng nướu răng, đặc biệt khi gặp phải viêm nướu răng.
- Cải thiện chế độ ăn uống của bạn bằng cách tăng cường trái cây và rau quả trong khẩu phần ăn hàng ngày. Tránh sử dụng nước ngọt và đồ uống chứa caffein trong quá trình điều trị sưng nướu răng.
- Sử dụng nước muối để súc miệng giúp giảm sưng và làm dịu cơn đau.
- Dùng thuốc chống viêm nếu cần thiết.
- Ăn thức ăn mát và mềm giúp giảm sưng như súp, cháo,…
- Sử dụng sản phẩm chứa benzocaine để làm giảm đau và dịu cơn đau nhanh chóng hơn.
- Đặt lịch hẹn khám răng định kỳ mỗi 6 tháng một lần. Nếu tình trạng sưng nướu răng vẫn tiếp diễn, hãy hẹn gặp nha sĩ để xác định nguyên nhân và tìm hướng điều trị phù hợp.

Súc miệng bằng nước muối giúp điều trị sưng nướu
Các điều cần tránh làm khi điều trị sưng nướu răng
Dưới đây là những việc làm cần tránh khi đang trong quá trình điều trị sưng nướu:
- Nếu bạn cảm thấy dị ứng hoặc nhạy cảm với kem đánh răng mới, hãy ngừng sử dụng và quay lại với loại kem đánh răng quen thuộc.
- Ngưng sử dụng rượu, bia và thuốc lá hoặc các sản phẩm có thể gây kích ứng và làm tình trạng sưng tấy trở nên nghiêm trọng hơn.
- Hạn chế ăn các loại thực phẩm dầu mỡ và có đường như bỏng ngô và khoai tây chiên,…
Khi nào cần áp dụng thủ thuật y tế?
Sau khi áp dụng các phương pháp điều trị tại nhà trong 2 tuần mà tình trạng sưng nướu vẫn không giảm, bạn nên đến cơ sở y tế để thăm khám và điều trị.
Khi khám lâm sàng, bác sĩ có thể sẽ chỉ định chụp X-quang hoặc xét nghiệm thêm nếu cần thiết để xác định chính xác tình trạng bệnh. Sau đó, bạn sẽ được kê đơn nước súc miệng để ngăn ngừa mảng bám hoặc thuốc kháng sinh trong trường hợp bị viêm nhiễm.
Ngoài ra, bác sĩ sẽ thực hiện làm sạch mảng bám chân răng bằng cách cạo vôi răng để phục hồi mô nướu bị tổn thương. Trong trường hợp nghiêm trọng, bạn có thể cần phải phẫu thuật để giải quyết vấn đề.

Thăm khám và điều trị sưng nướu
Cách chăm sóc và phòng ngừa sưng nướu răng
Khi nướu răng bị sưng, việc chăm sóc đúng cách sẽ giúp giảm đau và ngăn ngừa tình trạng viêm nhiễm trở nên nghiêm trọng hơn. Dưới đây là những biện pháp đơn giản bạn có thể áp dụng tại nhà.
Dùng bàn chải và chỉ nha khoa
- Chải răng ít nhất 2 lần/ngày bằng bàn chải lông mềm để loại bỏ mảng bám, hạn chế vi khuẩn tấn công nướu.
- Sử dụng chỉ nha khoa để làm sạch thức ăn thừa giữa các kẽ răng, tránh tạo điều kiện cho vi khuẩn sinh sôi.
Uống nhiều nước
Nước giúp kích thích tiết nước bọt – một cơ chế tự nhiên giúp làm sạch khoang miệng, rửa trôi vi khuẩn, mảng bám và giảm nguy cơ viêm nhiễm. Ngoài ra, uống đủ nước còn hạn chế tình trạng hôi miệng do khô miệng.

Súc miệng bằng nước muối đúng cách
Nước muối có chứa Natri Clorua – một khoáng chất giúp tạo môi trường kiềm nhẹ trong khoang miệng. Nhờ đó, nó giúp ức chế hoạt động của vi khuẩn, hỗ trợ làm dịu các vùng sưng đau, giảm viêm nướu và ngăn ngừa các vấn đề như chảy máu chân răng hoặc hôi miệng.
Để phát huy hiệu quả, bạn nên súc miệng theo các bước sau:
- Lần đầu súc khoảng 30 giây để loại bỏ mảng bám và cặn thức ăn.
- Lần hai kéo dài khoảng 60 giây để dung dịch tiếp xúc kỹ với răng và nướu.
- Sau cùng, nên tráng miệng lại bằng nước sạch để làm sạch hoàn toàn khoang miệng.
Lưu ý, không nên nuốt nước muối và tránh lạm dụng quá mức vì dùng quá thường xuyên có thể gây ảnh hưởng đến men răng.
Không dùng chất kích thích
Rượu, bia, thuốc lá làm giảm tiết nước bọt, khiến vi khuẩn bám trên răng lâu hơn, làm trầm trọng thêm tình trạng sưng nướu và kéo dài thời gian hồi phục. Vì vậy, bạn cần hạn chế tối đa các chất này trong thời gian bị sưng nướu.
Câu hỏi thường gặp khi bị sưng nướu răng
Bên cạnh tìm hiểu các cách trị sưng nướu răng tại nhà, dưới đây là những thắc mắc thường gặp phải nhất.
Làm gì khi bị sưng nướu răng trong cùng hàm dưới/hàm trên?
Để điều trị sưng nướu răng trong cùng hàm dưới/hàm trên, trước tiên bạn cần xác định nguyên nhân gây ra tình trạng này. Nếu sưng nhẹ và không có triệu chứng nghiêm trọng, bạn có thể tự áp dụng một số phương pháp giảm sưng tại nhà. Tuy nhiên, để đảm bảo an toàn và chắc chắn về tình trạng của mình, bạn nên đến cơ sở y tế gần nhất để được kiểm tra, chẩn đoán và điều trị.
Dưới đây là một số cách giảm đau và sưng nướu răng trong cùng hàm dưới/hàm trên:
- Súc miệng bằng nước muối sinh lý để làm sạch và giảm viêm.
- Áp dụng chườm ấm hoặc lạnh tại vùng sưng để giảm đau và giảm sưng. Bạn nên thử cả hai phương pháp để xem phương án nào mang lại hiệu quả tốt hơn.
- Vệ sinh răng miệng đúng cách bằng cách chải răng kỹ lưỡi hai lần mỗi ngày và sử dụng chỉ nha khoa thường xuyên để loại bỏ mảng bám và vi khuẩn gây viêm nướu.
- Hẹn khám lấy cao răng định kỳ để ngăn ngừa tích tụ mảng bám và sâu răng.
- Điều trị sâu răng nếu nướu bị sưng do vấn đề sâu răng.
- Cắt lợi trùm hoặc nhổ răng khôn nếu nướu sưng do vấn đề liên quan đến lợi trùm hoặc răng khôn.

Chườm lạnh để trị sưng nướu răng trong cùng ở cả hai hàm
Sưng nướu răng có tự hết không?
Nếu tình trạng sưng nướu răng nhẹ và không ảnh hưởng đến chân răng và các răng khác, bạn có thể tự điều trị thông qua việc vệ sinh răng miệng đúng cách.. Tuy nhiên, nếu tình trạng nướu bị sưng nặng có dấu hiệu viêm nướu có mủ bạn nên đến gặp bác sĩ để được kiểm tra và chữa trị kịp thời. Việc kiểm tra và điều trị sớm sẽ giúp ngăn ngừa các vấn đề răng miệng nghiêm trọng hơn và đảm bảo sức khỏe của bạn.
Sưng nướu răng trong cùng hàm dưới/hàm trên có nguy hiểm không?
Không chỉ gây đau nhức, sưng nướu răng trong cùng ở cả hai hàm còn làm ảnh hưởng đến đời sống thường ngày của người bệnh. Nếu không được điều trị kịp thời, tình trạng sưng nướu này có thể dẫn đến các biến chứng nghiêm trọng như áp xe, nhiễm trùng, viêm mô xung quanh răng và trong trường hợp nặng hơn, có thể lan sang xương hàm, mô mềm của mặt và cổ. Việc chữa trị trong tình huống này sẽ trở nên khó khăn hơn rất nhiều.
Do đó, nếu bạn bị sưng nướu răng trong cùng hàm dưới/hàm trên kéo dài hơn 4 ngày và xuất hiện các dấu hiệu như mủ, nổi hạch, đau nhức nghiêm trọng, bạn nên đến gặp bác sĩ ngay để được kiểm tra.
Bị sưng nướu răng bao lâu thì khỏi?
Nếu sưng nướu răng ở mức độ nhẹ, có thể được chữa khỏi sau khoảng 5 – 7 ngày. Tuy nhiên, thời gian chữa trị có thể thay đổi tùy thuộc vào mức độ nghiêm trọng của bệnh.

Sưng nướu răng nhẹ có thể tự khỏi sau 5 – 7 ngày
Bị sưng nướu răng không nên ăn gì?
Dưới đây là một số loại đồ ăn và đồ uống mà bạn nên tránh khi bị sưng nướu răng:
- Đồ ăn quá lạnh hoặc quá nóng.
- Thực phẩm chứa đường và tinh bột.
- Các loại thực phẩm gây khô miệng.
- Món ăn cay nóng.
- Đồ ăn có tính acid.
- Trái cây sấy khô.
- Thực phẩm chiên rán.
- Đồ uống có chứa chất kích thích.
Sưng nướu răng có thể gây đau và khó chịu, tuy nhiên trong hầu hết các trường hợp, bạn có thể tự áp dụng cách trị sưng nướu răng tại nhà. Hy vọng bài viết trên, công ty vật tư nha khoa nkluck đã cung cấp đến bạn những kiến thức hữu ích nhất.