Trong quá trình điều trị niềng răng, bên cạnh hệ thống dây cung và mắc cài, nha sĩ còn sử dụng rất nhiều công cụ khí cụ chỉnh nha khác nhau nhằm tối ưu hóa hiệu quả điều trị răng. Mỗi loại công cụ lại được sử dụng trong những trường hợp răng cụ thể và mang lại tác dụng riêng. Trong bài viết này, hãy cùng N.K.Luck tìm hiểu một số loại khí cụ chỉnh nha được sử dụng phổ biến trong quá trình niềng răng.
Khí cụ chỉnh nha là gì?
Khí cụ chỉnh nha là những dụng cụ hỗ trợ quá trình chỉnh hình hàm răng theo đúng kế hoạch điều trị của bác sĩ nha khoa. Khí cụ được sử dụng kết hợp với hệ thống niềng răng để tác động lực lên răng, dần di chuyển răng từ vị trí hiện tại sang vị trí mong muốn.
Một số đặc điểm chung của khí cụ chỉnh nha:
- Được làm bằng các vật liệu y khoa an toàn như thép không gỉ, titan, composite…
- Có kích thước và hình dạng phù hợp để ghép vào hệ thống niềng răng.
- Có khả năng chịu được lực kéo, đẩy từ hệ thống niềng trong suốt quá trình điều trị.
- Dễ dàng gắn ráp, tháo lắp để điều chỉnh tư thế răng theo kế hoạch.
Việc lựa chọn và sử dụng đúng loại khí cụ phù hợp sẽ giúp quá trình niềng diễn ra thuận lợi, đạt hiệu quả cao.

Khái niệm về khí cụ chỉnh nha
Có hai hình thức niềng răng phổ biến hiện nay là niềng có mắc cài và niềng không mắc cài. Mỗi phương pháp sử dụng những loại khí cụ chỉnh nha riêng biệt nhằm hỗ trợ quá trình di chuyển răng một cách hiệu quả.
Các loại khí cụ chỉnh nha của niềng răng mắc cài
Niềng răng bằng mắc cài là phương pháp niềng truyền thống, lâu đời khi sử dụng các mắc cài gắn cố định trên bề mặt răng. Đồng thời đây cũng là phương pháp niềng phổ biến do chi phí hợp lý, hiệu quả cao.
Niềng mắc cài đòi hỏi sử dụng nhiều loại khí cụ chỉnh nha như thanh kim loại uốn cong, thun liền hàm,… nhằm tác động đúng lực lên răng, di chuyển chúng đến vị trí mong muốn một cách từ từ và chính xác.
Hệ thống mắc cài
Hệ thống mắc cài được xem là khí cụ chủ chốt trong niềng răng bằng phương pháp gắn mắc cài. Chúng không chỉ có tác dụng di chuyển răng đến vị trí điều trị mong muốn mà còn giúp cố định răng tại đó.
Thông thường, mắc cài được làm từ kim loại hoặc vật liệu thẩm mỹ cao như sứ, pha lê. Chúng sẽ được dán trực tiếp lên bề mặt hoặc mặt trong răng bằng keo nha khoa đặc biệt. Việc gắn mắc cài chính xác vị trí sẽ tạo điều kiện thuận lợi cho quá trình di chuyển răng theo lực do thanh kim loại trong mắc cài tác động. Đồng thời, mắc cài giúp răng được cố định vững chắc ở từng giai đoạn điều trị.

Hệ thống mắc cài
Dây cung
Dây cung là một trong những khí cụ chủ chốt trong quá trình niềng răng bằng phương pháp mắc cài. Đây là sợi dây thép vòng quanh khung hàm, sau khi gắn mắc cài lên răng, nha sĩ sẽ buộc chặt dây cung vào mắc cài bằng chun hoặc chốt nhằm tạo lực di chuyển răng theo đúng kế hoạch.
Dây cung thường được làm bằng kim loại như thép không gỉ, titan có độ bền cao, phù hợp sử dụng trong môi trường miệng. Chúng có thể có hình tròn, vuông với kích thước khác nhau tùy giai đoạn điều trị. Dây cung kết hợp với hệ thống mắc cài giúp thực hiện hiệu quả quá trình di chuyển, đưa răng về đúng vị trí theo kế hoạch niềng.
>>> Xem thêm: Dây cung niềng răng: công dụng, lợi ích và phân loại

Dây cung
Hooks
Hooks là một bộ phận nhỏ nối dây cung với mắc cài trong quá trình niềng răng. Chúng thường được gắn trên đầu mắc cài ở các răng nhanh, răng nhai nhỏ hoặc trên dây/mắc cài của răng nhai lớn.
Hooks có tác dụng kết nối dây cung giữa hàm trên và hàm dưới, giúp tạo lực kéo cho cả hàm theo đúng kế hoạch niềng. Với vị trí gắn thích hợp trên các răng then chốt, hooks đóng vai trò quan trọng trong việc di chuyển răng theo từng giai đoạn và cho hình dạng hoàn hảo mong muốn.

Hooks
Khâu (Band)
Band hay còn gọi là khâu là một loại khung cấu tạo theo hình dạng răng, thường được đặt trên răng 6 hoặc 7 để làm điểm tựa cho toàn bộ hệ thống niềng. Cụ thể, band được thiết kế phù hợp với hình dạng răng của bệnh nhân và được niềng cố định. Đầu dây cung sẽ được nối vào band, tạo ra lực kéo giúp di chuyển các răng khác theo đúng kế hoạch điều trị. Band hỗ trợ duy trì tác động liên tục của dây cung lên răng, đồng thời cố định toàn bộ hệ thống niềng, giúp quá trình niềng diễn ra thuận lợi hơn.

Khâu
Thun liên hàm
Thun liên hàm là khí cụ có độ đàn hồi cao, được sử dụng để tạo lực kéo nhẹ giữa hàm trên và hàm dưới, góp phần cân chỉnh đường cắn và vị trí của các răng. Cụ thể, thun liên hàm được đặt từ mắc cài hàm trên xuống mắc cài hàm dưới. Nó giúp kéo nhẹ các răng bị lệch hàm, mọc sai hướng hoặc không nằm trên đường cung răng, dần di chuyển chúng về vị trí chuẩn theo kế hoạch điều trị. Đồng thời, thun liên hàm còn góp phần điều chỉnh khớp cắn cân đối cho cả hàm trên và hàm dưới.
>>> Xem thêm: Có nên đeo chun liên hàm

Thun liên hàm
Minivis
Minivis là khí cụ chỉnh nha được cắm vào xương hàm, giúp cố định toàn bộ hệ thống niềng răng, mang lại độ chính xác cao trong việc điều chỉnh khớp cắn và dịch chuyển răng nhanh hơn.
Minivis có cấu tạo như đầu ốc vít nhỏ gọn với đường kính khoảng 1,4-2mm, chiều dài 6-12mm. Số lượng và vị trí cắm minivis phụ thuộc từng trường hợp bệnh nhân. Chúng thường được sử dụng trong các trường hợp: đóng khoảng nhổ răng, sửa răng lệch, dựng trục răng, di chuyển toàn hàm hoặc điều chỉnh mặt phẳng cắn. Minivis giúp niềng răng tác động lực mạnh hơn, quá trình điều trị diễn ra nhanh chóng.

Minivis
Lò xo
Trong niềng răng, lò xo được sử dụng với mục đích tạo và duy trì khoảng trống giữa các răng, góp phần di chuyển chúng theo đúng kế hoạch điều trị.
Có 3 loại lò xo chính:
- Lò xo đẩy: Tạo thêm khoảng trống giữa các răng.
- Lò xo kéo: Thu hẹp khoảng trống răng bằng tác dụng co giãn của lò xo.
- Lò xo duy trì: Giữ nguyên khoảng trống hiện có của các răng, không thu hẹp hay mở rộng thêm.
Nha sĩ sẽ lựa chọn loại lò xo phù hợp tùy theo từng giai đoạn điều trị, nhằm kéo/đẩy răng đến vị trí chuẩn một cách từ từ, an toàn.

Lò xo
Chun chuỗi
Chun chuỗi là khí cụ kết nối liên kết các răng trong cùng một hàm thông qua một dải cao su co giãn gồm nhiều vòng hình tròn kết nối nhau. Trong quá trình niềng răng, chun chuỗi được sử dụng để kéo tác động đồng loạt vào cụm răng, giúp chúng di chuyển nhanh hơn hoặc đóng kín khoảng trống giữa các nhóm răng.
Việc sử dụng và vị trí mắc chun chuỗi sẽ được nha sĩ xác định dựa trên mục tiêu điều trị, quá trình niềng của từng bệnh nhân. Khí cụ hỗ trợ hiệu quả cho quá trình di chuyển răng đến vị trí chuẩn.

Chun chuỗi
Khí cụ nong hàm
Khí cụ nong hàm là một phương pháp nhằm mở rộng khung xương hàm, gia tăng diện tích vòm miệng mà không cần nhổ răng. Cụ thể, nha sĩ sử dụng dụng cụ chuyên dụng để tác động nhẹ nhàng, đều đặn lên cung hàm trên hoặc dưới trong khoảng thời gian từ 1-3 tháng. Quá trình này giúp nới rộng khung xương, tạo khoảng trống cho răng dịch chuyển dễ dàng hơn.
Phương pháp nong hàm được ứng dụng chủ yếu cho hàm trên, mang lại hiệu quả như cách nhổ răng mà không gây đau đớn, ảnh hưởng thẩm mỹ.

Khí cụ nong hàm
Chun tách kẽ
Chun tách kẽ là bước đầu tiên trong quá trình gắn mắc cài niềng răng. Thường, chun tách kẽ có độ dày khoảng 2mm và được đặt vào vị trí kẽ hở giữa hai răng hàm, tạo ra một khoảng trống giữa hai răng để chuẩn bị cho việc đặt band (khâu). Thời gian đặt chun tách kẽ thường kéo dài từ 5 đến 7 ngày.

Chun tách kẽ
Hàm duy trì
Thay vì hệ thống mắc và dây cung, hàm duy trì được sử dụng ngay sau khi bạn đã hoàn tất việc niềng răng. Hàm duy trì được thiết kế dựa trên khuôn hàm răng của bạn và có mục đích chính là giữ cho răng chắc, ổn định và duy trì kết quả sau khi niềng. Thời gian đeo hàm duy trì thường kéo dài từ 6 đến 12 tháng, tùy thuộc vào từng trường hợp cụ thể của khách hàng.

Hàm duy trì
Tham khảo thêm>>
- Công dụng và cách sử dụng hàm chống nghiến răng
- Sáp nha khoa là gì? Cách sử dụng sáp nha khoa
Các loại khí cụ chỉnh nha của niềng răng không mắc cài (niềng răng trong suốt)
Niềng răng không mắc cài hay còn được gọi là niềng răng bằng khay chỉnh nha trong suốt, là phương pháp niềng răng đang nhận được nhiều sự quan tâm từ khách hàng. Khác với niềng răng mắc cài, với các khí cụ cồng kềnh và phức tạp, niềng răng không mắc cài có thiết kế vô cùng đơn giản nhưng hiệu quả mà nó đem lại không hề thua kém. Loại niềng răng trong suốt này được cấu tạo từ hai bộ phận:
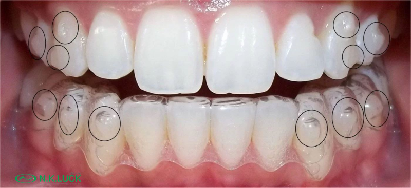
Khay chỉnh nha trong suốt (Aligner)
Đây là phần chính của niềng răng không mắc cài. Khay chỉnh nha là một loại ốp trong suốt được tạo ra dựa trên kết quả quét 3D hàm răng của bạn. Mỗi khay chỉnh nha sẽ được thiết kế để dịch chuyển răng từ vị trí ban đầu đến vị trí mong muốn theo từng giai đoạn. Do đó, vấn đề bung tuột mắc cài, dây cung chọc má gây tổn thương môi má và mô mềm không còn là vấn đề lo ngại nữa.
Khay niềng được thiết kế bằng vật liệu nhựa trong suốt đã được kiểm nghiệm lành tính, an toàn và không gây kích ứng trong môi trường khoang miệng. Nhờ vào đặc tính đàn hồi, nó sẽ tác động lực lên răng, giúp đưa răng di chuyển từ từ đến vị trí đều đặn trên cung hàm.

Khay chỉnh nha trong suốt
Gắn nút (Attachments)
Attachments là các mấu nhỏ làm từ chất liệu composite có màu giống với màu răng tự nhiên, được gắn trực tiếp lên bề mặt của răng. Attachments có thể có hình vuông, chữ nhật hoặc vát chéo. Chúng được gắn cho bệnh nhân trong quá trình đeo khay hàm đầu tiên với ba nhiệm vụ và vai trò khác nhau:
- Cố định khay niềng mà không lo bị trơn tuột khỏi hàm.
- Là điểm tạo lực của khay niềng giúp các răng được di chuyển về đúng vị trí.
- Làm điểm neo để nha sĩ đặt một số khí cụ chỉnh nha khác lên trong một vài trường hợp đặc biệt để tăng hiệu quả của việc dịch chuyển răng.

Attachments
>>> Xem thêm: Tại sao nên chọn phương pháp niềng răng không mắc cài Clear Aligner
Myobrace – Giải pháp chỉnh nha cho trẻ em
Khi nói đến chỉnh nha cho trẻ em, nhiều bậc phụ huynh lo lắng về việc đeo mắc cài sớm có thể gây khó chịu và ảnh hưởng đến sinh hoạt của trẻ. Tuy nhiên với sự phát triển của công nghệ chỉnh nha hiện đại, Myobrace đã trở thành một giải pháp tối ưu, bé sẽ không cần đến mắc cài hay dây cung.
Myobrace là gì?
Myobrace là hệ thống khí cụ chỉnh nha chức năng, có thiết kế đặc biệt để giúp trẻ em điều chỉnh sự phát triển của răng và xương hàm một cách tự nhiên. Đây là phương pháp chỉnh nha dựa trên việc huấn luyện cơ miệng, lưỡi và thói quen thở nhằm đưa răng về vị trí đúng ngay từ khi trẻ còn nhỏ.
Hệ thống Myobrace gồm một loạt các khí cụ mềm dẻo, có thể tháo lắp, được thiết kế theo từng giai đoạn phát triển của trẻ. Đồng thời, việc này giúp can thiệp sớm và hỗ trợ phát triển hàm mặt tối ưu.

Ưu điểm của Myobrace trong chỉnh nha trẻ em
So với phương pháp niềng răng truyền thống, Myobrace mang đến nhiều lợi ích vượt trội, vừa nắn chỉnh răng vừa hỗ trợ phát triển hàm một cách tự nhiên.
- Không cần mắc cài, dây cung: Giúp trẻ cảm thấy thoải mái hơn trong quá trình chỉnh nha.
- Sửa thói quen xấu: Hỗ trợ điều chỉnh các thói quen xấu như thở bằng miệng, đẩy lưỡi và mút tay – những nguyên nhân chính gây sai lệch khớp cắn.
- Tạo điều kiện cho sự phát triển hàm tự nhiên: Nới rộng hàm trên và hàm dưới, tạo đủ không gian cho răng vĩnh viễn mọc thẳng hàng.
- Thời gian đeo linh hoạt: Trẻ chỉ cần đeo khí cụ chỉnh nha vài giờ mỗi ngày và trong khi ngủ, không ảnh hưởng đến sinh hoạt hàng ngày.
- An toàn và không đau: Được làm từ vật liệu mềm, an toàn cho răng và nướu của trẻ.
Khi nào nên sử dụng Myobrace?
Myobrace phù hợp với trẻ em từ 3 đến 15 tuổi, đặc biệt là những trẻ có các dấu hiệu sau:
- Răng mọc lệch, chen chúc hoặc có khoảng hở lớn.
- Hàm trên hoặc hàm dưới phát triển không cân đối.
- Trẻ có thói quen thở bằng miệng, đẩy lưỡi, mút tay hoặc nghiến răng khi ngủ.
- Cằm nhô ra trước hoặc răng cửa hàm trên chìa quá mức.
Việc can thiệp sớm bằng Myobrace giúp trẻ giảm nguy cơ phải niềng răng mắc cài khi trưởng thành và có được hàm răng đẹp, cân đối hơn.
Tại sao nên chọn Myobrace thay vì các phương pháp khác?
Với nhiều phương pháp chỉnh nha hiện nay, cha mẹ có thể băn khoăn không biết đâu là lựa chọn tốt nhất cho con mình. Chúng tôi tin rằng, Myobrace sẽ là phương pháp thích hợp nhất, hỗ trợ trẻ phát triển hàm một cách tự nhiên.
- Không gây tổn thương mô mềm: Không giống như mắc cài hay dây cung, Myobrace sẽ không gây ma sát hay kích ứng nướu.
- Giảm thiểu nguy cơ nhổ răng: Vì Myobrace hỗ trợ mở rộng cung hàm từ sớm và giảm nguy cơ phải nhổ răng sau này.
- Hạn chế tái phát: Vì Myobrace tác động vào nguyên nhân gốc rễ gây lệch răng giúp kết quả ổn định hơn.
Tham khảo thêm>> Các thiết bị chẩn đoán hình ảnh nha khoa
Hướng dẫn sử dụng Myobrace hiệu quả
Để đạt được kết quả chỉnh nha tối ưu với Myobrace, việc sử dụng đúng cách là vô cùng quan trọng. Dưới đây là hướng dẫn chi tiết giúp bạn hoặc con bạn sử dụng Myobrace hiệu quả nhất:
- Bước 1: Đeo khí cụ ít nhất 1 – 2 giờ mỗi ngày và trong khi ngủ vào ban đêm.
- Bước 2: Tập các bài tập cơ miệng theo hướng dẫn của nha sĩ để cải thiện chức năng lưỡi, môi và hơi thở.
- Bước 3: Duy trì thói quen ăn uống lành mạnh, hạn chế thực phẩm quá cứng hoặc quá dai để hỗ trợ hiệu quả chỉnh nha.
- Bước 4. Tái khám định kỳ để theo dõi tiến trình điều trị và điều chỉnh khí cụ khi cần thiết.

Trên đây là một số khí cụ chỉnh nha cần có để sử dụng trong quá trình niềng răng. Hy vọng thông qua bài viết này, các bạn đã có thêm những thông tin hữu ích về niềng răng và các loại khí cụ chỉnh nha.
Để tìm mua các dụng cụ, thiết bị nha khoa chất lượng, hãy truy cập vào website http://nkluck.vn/ hoặc liên hệ trực tiếp với N.K.Luck Việt Nam ngay hôm nay qua hotline 028.3862.0090 để biết thêm thông tin chi tiết.