Răng khôn mọc lại lắng nghe rất nhiều người. Nơi mọc răng không gây ra rất nhiều nghịch và đau đớn cho người bệnh. Chính vì thế, lựa chọn hàng đầu chính là loại bỏ chúng. Tuy nhiên, sau khi chúng ta nhổ răng không thì vẫn để lại rất nhiều biến chứng nguy hiểm đối với bệnh nhân. Vì vậy bạn đã biết những biến chứng đó là gì? Các công cụ thiết bị ứng dụng giúp giảm thiểu sang chấn trong quá trình phẫu thuật nhổ răng không bao gồm những loại nào? Tất cả sẽ được NKLuck bật mí trong bài viết dưới đây nhé!
Những biến chứng này có thể gặp phải trong và sau khi vất vả
Các biến chứng liên quan đến việc gây tê
Dựa trên những thông tin mà chúng tôi thu thập được thì hiện nay, nhiều ca phẫu thuật không gây tử vong do bệnh nhân bị ngộ độc hoặc dị ứng với thuốc gây tê. Tuy đây là một biến chứng ít gặp nhưng nếu như chúng ta không có biện pháp giải quyết kịp thời thì có thể dẫn đến những hậu quả không thể lường trước được như bị thất bại và xử lý thậm chí là tử vong. Một số trường hợp, bệnh nhân bị sốc phản vệ một cách nhanh chóng, nặng nề và không kịp cấp cứu. Tuy nhiên, việc bệnh nhân ngộ độc hay sốc thuốc tê không liên quan đến trình độ và khả năng của nha sĩ.

Các biến chứng liên quan đến việc gây tê
Một số biểu hiện của bệnh nhân ngộ độc, dị ứng và thuốc siêu tế như sau:
- Sau khi tiêm thuốc tê cho bệnh nhân thì chúng xuất hiện các biểu hiện như chóng mặt, hoa mắt, phù tai, tê bì đầu chi, lú lẫn, rối loạn vị giác, buồn ngủ, co giật, chân tay lạnh, mơ màng, khó thở. , nhiệt huyết áp,…
- Các trường hợp bệnh nhân nặng có thể hôn mê, lên cơn co giật, mất ý thức, suy hô hấp và thậm chí là ngừng thở.
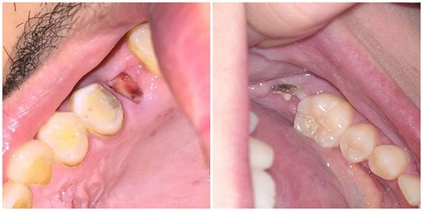
Các biến chứng về chảy máu
Biến chứng xuất huyết thường gặp phải trong quá trình phẫu thuật chú ý không hoặc hậu phẫu.
Hiện tượng chảy máu trong quá trình cạo răng không: thường xuất hiện khi chúng ta phải nhổ một chiếc răng có khối u máu ở bên dưới. Khi xảy ra trường hợp này, các nha sĩ bắt buộc phải đặt chiếc răng trở lại ổ răng và ép chặt lại để thực hiện cầm máu. Vì với khối u máu thì khâu cầm máu là rất khó khăn.
Bên cạnh đó, khi chúng ta thực hiện nhổ răng không hàm dưới gần giải phẫu ống răng dưới thì nơi đó có nhánh động mạch răng dưới. Nếu như các bác sĩ không xem xét và khảo sát kỹ năng trên phim x-quang hoặc quá trình phẫu thuật diễn ra rất thô bạo có thể dẫn đến hậu quả làm rách mạch máu làm chảy máu dữ liệu. Khi nhổ răng khi còn viêm thì chảy máu sẽ nhiều hơn và khó cầm hơn.
Hiện tượng chảy máu sau khi phẫu thuật răng khôn: Một số bệnh nhân mắc bệnh lý máu khó đông khiến việc cầm máu gặp nhiều khó khăn. Vì vậy khi rùng răng các bác sĩ phải nắm thông tin về tiền sử án bệnh của nhân về các vấn đề liên quan đến máu.
Bệnh nhân cần lưu ý phải chịu đủ thời gian sau khi tỉnh táo. Khoảng thời gian nhớ nhung có thể vang lên vài tiếng. Trong quá trình rùng rợn không nên khạc nhổ, thúi, thúi chíp, hút thuốc hay làm giảm miếng cắn. Như vậy cục máu đông mới hình thành và được định hình tốt.
Các biến chứng về trùng lặp
Biến chứng trùng lặp có thể xảy ra ở một khu vực hoặc có thể lan ra toàn thân.
Nguyên nhân dẫn đến biến chứng này là do:
- Trong quá trình cạo râu không đảm bảo vô khuẩn.
- Sau quá trình nhổ răng, bệnh nhân tàn tay hoặc nhiễm bẩn ở vết thương.
- Bệnh nhân bị suy giảm kháng thể và bị nghiện.

Một số biến chứng trùng lặp thường gặp bao gồm:
- Viêm huyệt ổ răng: Hiện tượng này thường xảy ra vào ngày thứ 3 sau khi phẫu thuật, bệnh nhân sẽ đối mặt với những cơn đau cơn âm ỉ kèm theo mùi hôi khó chịu từ vị trí mọc răng. Nguyên nhân có thể là cục máu đông không hình thành hoặc hiện tượng thức ăn rơi vào huyệt ổ răng làm nhiễm khuẩn ở vùng răng xung quanh vết mổ.
- Nhiễm trùng lan tỏa như viêm mô tế bào và có thể dẫn đến các biểu hiện nhiễm trùng.
Tham khảo thêm:
Quy trình vô trùng dụng cụ nha khoa đạt tiêu chuẩn quốc tế
So sánh top 4 loại ghế nha khoa được ưa chuộng nhất
Tình trạng tổn thương của dây thần kinh
Tổn thương dây thần kinh ở đây được hiểu là Tổn thương dây thần kinh của ống răng dưới làm cho bệnh nhân có cảm giác bị tê, nóng rát hoặc mất cảm giác của môi trường – trò chơi, vùng nhỏ của khung xương bên dưới sẽ có khả năng mất cảm giác tạm thời hoặc vĩnh viễn. Triệu chứng này không gây ảnh hưởng đến chuyển động của mũ, phát âm, không gây biến dạng hay phù nề mặt.

Tình trạng tổn thương dây thần kinh đôi khi không thể tránh khỏi đặc trưng của ca phẫu thuật rất phức tạp và được chèn ép hậu phẫu thuật không thể kiểm tra giám sát được. Trên thực tế khi tổn thương dây thần kinh chỉ gây ra cảm giác tê bì, rát tạm thời, cũng có trường hợp bị vĩnh viễn.
Hiện các biểu tượng xoang hàm
Hiện tượng Xoắn xoang hàm mọc ra khi không có hàm trên, phần xoang hàm đôi khi nằm gần với các chân răng có răng hàm trên hoặc khi phẫu thuật nha sĩ có tác động xạc thô đốt chân răng vào trong xoang. Khi chân răng nằm sát hoặc nằm trong xoang có thể dẫn đến nguy cơ bị xoang.

Trường hợp chân răng lọt vào trong xoang hàm thì có 2 trường hợp xảy ra:
- Nếu như kích thước của chân răng nhỏ thì có thể theo dõi thêm, nếu không có bất cứ biến chứng nào xảy ra thì không cần mổ lấy.
- Nếu kích thước chân răng lớn thì cần phải thực hiện lấy chân răng theo lỗ rò hoặc mở cửa sổ phía bên để hút chân răng để tránh trường hợp ổ viêm chân răng răng rụng vào xoang lan rộng dẫn đến xoang trưng tính.
Status lãng phí chân răng
Tình trạng thải bã chân răng chỉ phát hiện khi chụp X-quang hoặc có biến chứng Viêm phổi xảy ra.
Nha sĩ cần lấy hết phần chân ra khỏi khung. Tuy nhiên, thỉnh thoảng vẫn có một số trường hợp vị trí phẫu thuật phức tạp như gần với mạch máu, dây thần kinh lớn, việc lấy hoàn toàn chân răng có thể xảy ra hiện tượng xâm lấn. Vì vậy, bác sĩ sẽ để lại hồi tưởng và thực hiện theo dõi định kỳ.

Status is not há
Tình trạng há miệng bị hạn chế gây khó khăn cho người bệnh trong công việc ăn uống, vệ sinh răng miệng, nhũ hoa,…
Nguyên nhân dẫn đến các đối tượng không có lợi là do:
- Quá trình mọc răng gây ra quá nhiều sang chấn.
- Tình trạng viêm nhiễm trong quá trình gây tê hoặc trong phẫu thuật nhổ răng không.
- Bệnh nhân gặp các vấn đề liên quan đến khớp Thái Dương Hàm.

Status status
Trong quá trình phẫu thuật nhổ răng khôn, ổ răng răng không thể lành và phần khung xương bị lộ ra bên ngoài. Biến chứng này rất nguy hiểm và thường xuất hiện ở những bệnh nhân được đặt asen điều trị kính lúp trước khi nhổ răng hoặc những bệnh nhân bị ung thư khung và đang thực hiện xạ trị.
Tình trạng tổn thương răng ở bên cạnh, vỡ khung
Một số trường hợp răng mọc lệch và đâm sang răng khác thì bác sĩ cần phải giải phóng điểm trộm. Trường hợp nếu không giải phóng điểm ghim mà vẫn thực hiện tác dụng phản xạ thì sẽ có nguy cơ bị tổn thương bên cạnh răng và thậm chí chí là phải luôn luôn bên cạnh răng.
Nguyên nhân dẫn đến hiện tượng này có thể là do nha sĩ đặt điểm tản nhiệt sai làm cho răng bị phổi nằm dẫn đến viêm cổng và đau quai bị.
Biến chứng làm khung xương rất hiếm khi xảy ra, nguyên nhân có thể là bác sĩ sử dụng lực thông tin bạo lực hoặc khung xương của bệnh nhân có những khối u ở bên trong khi làm cho cấu trúc khung xương bị yếu đi.
Giảm thiểu trạng thái sang chấn bằng cách sử dụng các công cụ để phẫu thuật răng khôn
Máy Piezomed với công nghệ rung siêu âm
Máy piezomed giúp loại bỏ chân răng an toàn và nhanh chóng
Phương pháp phẫu thuật răng không truyền thống phải sử dụng dao sát, kềm và hấp phụ để các bác sĩ nha khoa phải mất thêm nhiều thời gian mới có thể xử lý xong. Điều này vô tình làm bệnh nhân phải há miệng khá lâu gây ra cảm giác khó chịu.
Máy piezomed tích hợp công nghệ nhổ răng không sang chấn giúp các thao tác phẫu thuật được thực hiện nhanh chóng và an toàn hơn. Cụ thể là các bác sĩ nha khoa sẽ đưa mũi phẫu thuật đầu tiên được cài đặt tự động từ trước với tần số công suất từ máy piezomed kết hợp với tia nước làm mát xung quanh vùng chân răng. Lúc này phần dây cung xung quanh răng sẽ được tách ra và nha sĩ có thể dễ dàng lấy răng ra khỏi ổ răng.
Máy siêu âm piezomed sử dụng công nghệ hiện đại, giảm thiểu cản và cạo gió
Thiết bị piezomed hoạt động dựa trên nguyên tắc sử dụng giao động sóng siêu âm và dao động ở các mũi phẫu thuật tiếp xúc xung quanh vùng Răng cần hỗ trợ cho thao tác cào răng trở nên đơn giản hơn. Sóng siêu âm trong máy piezomed sẽ hỗ trợ việc tách rời các mô ở vật liệu, chân răng một cách dịu dàng và nhẹ nhàng giúp bảo tồn xương răng và hạn chế tối đa tính trạng tổn thương răng.
Sau khi các bác sĩ đã thực hiện việc loại bỏ chân răng ra khỏi ổ thì bước sóng siêu âm sẽ ngay lập tức lập tức khóa các mạch máu lại. Thao tác này sẽ giúp cho quá trình thủy hóa của bệnh nhân không bị nổi bật, không gây ra tình trạng xuất huyết ở chân răng và bị viêm nhiễm.
Máy piezomed giảm thiểu sang chấn
Thiết bị piezomed sẽ tác động đến các bước sóng siêu âm và không gây thiệt hại cho các phần mềm xung quanh răng. Chính vì thế mà các trường hợp nhổ răng có phần chân răng lớn và phải thực hiện khâu lại sau khi mổ thì vết thương sẽ mau lành hơn và giúp kiểm soát được tình trạng bệnh tốt hơn. Bệnh có thể sinh hoạt ăn uống bình thường ít kiêng cữ hơn so với các hình thức cai nghiện không theo kiểu truyền thống.
Thuật cạo râu không bằng thiết bị piezomed không tác động đến dây thần kinh hay mạch máu xung quanh chân răng. Sử dụng giao động siêu âm giúp cho việc loại bỏ chân răng một cách nhanh chóng và hạn chế tối đa tình trạng sang chấn sau phẫu thuật.
Một số mũi cắt kết hợp với thiết bị piezomed
Hệ thống mũi cắt mang lại nhiều công dụng trong phẫu thuật răng không giảm thiểu sang chấn, cụ thể như sau:
- Hệ thống mũi cắt giúp máy có thể cắt chính xác và tránh gây tổn thương cho các mô mềm xung quanh, giảm thiểu tình trạng chảy máu và sang chấn do phẫu thuật.
- Hệ thống mũi cắt đa dạng kết hợp với sóng siêu âm của máy đã giúp quá trình bóc tách mô, phế liệu ra khỏi chân răng một cách dễ dàng và nhanh chóng nhất.
- Hệ thống mũi tên được thiết kế tinh dị và chi tiết giúp hỗ trợ quá trình nhổ răng an toàn mà không tác động đến dây thần kinh và mạch máu xung quanh chân răng.
- Mũi cạo với khả năng cắt khung xương Hỗ trợ cho máy siêu âm ít làm tổn thương các khung xương nên ít xảy ra nguy cơ biến chứng sau phẫu thuật cho bệnh nhân.
- Mũi cắt giúp quá trình thực hiện phẫu thuật diễn ra nhanh chóng làm giảm thiểu căng thẳng, tế bào, bắt, đau.
Mua máy cắm ghép implant tại Nkluck
Mua ghế nha khoa cao cấp tại N.K.LUCK

Tay khoan phẫu thuật khum với góc đầu 45 độ
Nhau không gây ra rất nhiều biến chứng sau phẫu thuật và có thể dẫn đến những hậu quả nặng nề ảnh hưởng rất lớn đến sức khỏe của người bệnh. Trong quá trình phẫu thuật răng khôn thì các cụ nha khoa đóng vai trò bổ trợ rất nhiều để các Bác sĩ có thể dễ dàng thực hiện nhiệm vụ của mình. Một dụng cụ không mang lại nhiều công dụng sẽ gây khó khăn cho các Bác sĩ thực hiện ca phẫu thuật mất nhiều thời gian hơn và có thể có nguy cơ xảy ra nhiều biến chứng hơn cho bệnh nhân.
Lựa chọn lựa chọn một tay khoan cho phẫu thuật chất lượng sẽ đảm bảo công việc của các bác sĩ nha khoa được diễn ra một cách thuận lợi. Vì tay khoan nha khoa đã hỗ trợ rất nhiều cho việc sử dụng các nhiệm vụ mở ống răng, mài răng cũng như hỗ trợ quá trình bọc răng sứ.
Hiện nay, trên thị trường phân phối rất nhiều mẫu tay khoan nha khoa, việc lựa chọn cho mình một mẫu tay khoan chất lượng tốt sẽ giúp ích rất nhiều cho các bác sĩ. Sau đây, chúng tôi sẽ bật mí cho bạn một số kinh nghiệm vô cùng hữu ích giúp bạn lựa chọn một chiếc xe khoan tay khoan phẫu thuật chất lượng.
- Tiêu chí về công việc của tay khoan: Tay khoan với công suất càng cao thì càng mang lại hiệu quả vì phần men của con người vô cùng rắn. Chính vì vậy, công xuất tay khoan cao sẽ giúp cho các bác sĩ có thể dễ dàng cắt bỏ cũng như làm giảm thiểu sang chấn chân răng một cách hiệu quả nhất.
- Tiêu chí về độ ồn của tay khoan: Một ca tay khoan phẫu thuật khuỷa phải có độ ồn càng thấp càng tốt. Điều này sẽ làm giảm căng thẳng của bệnh nhân trong suốt quá trình điều trị. Chính vì thế tay khoan nha khoa nếu gây ra tiếng ồn càng lớn càng khiến cho bệnh nhân rơi vào trạng thái mất tâm lí và sợ hãi.
- Tiêu chí về số lượng các tia phun sương ở trên tay khoan: Tay khoan sẽ có nhiều tia phun sương giúp làm mát mũi khoan tốt hơn, từ đó giảm thiểu tình trạng bị nhỏ hoặc không trong suốt quá trình bác sĩ thực hiện các thao tác tác vụ.
- Tiêu chí lựa chọn nhà cung cấp sản phẩm: Khi lựa chọn đơn vị để cung cấp thì nên lựa chọn những sản phẩm có thương hiệu uy tín và có chế độ bảo hành rõ ràng.
- Tiêu chí lựa chọn tay khoan nha khoa theo nguồn gốc xuất xứ: Các bác sĩ nên lựa chọn những loại tay khoan nha khoa có nguồn gốc xuất xứ từ các nước như Đức, Mỹ, Nhật Bản, Hàn Quốc,…sẽ mang lại độ chính xác cao hơn cũng như đảm bảo chất lượng tốt.
Mua tay khoan nhanh nha khoa tại N.K.Luck
Một trong những sản phẩm vượt trội đáp ứng đầy đủ các tiêu chí ở trên chính đó là Dòng tay khoan mới WS-91/WS91 LG.
Tay khoan góc 45 độ với công suất mạnh mẽ, an toàn và bảo vệ sinh
Dòng tay khoan khuỷa mới WS-91/WS91 LG có công suất mạnh mẽ với tỷ lệ truyền động là 1:2:7 mang đến kết quả vòng quay 135.000 vòng /phút. Công suất mạnh mẽ của tay khoan WS-91/WS91 LG kết hợp với động cơ phẫu thuật, lúc này tay khoan phẫu thuật đạt hiệu quả công việc cao hơn 2 Ncm trên đầu mũi khoan. Từ đó, tay khoan hoạt động với công suất cao hơn gấp 3 lần so với các tay khoan khum tiêu chuẩn khác khi kết hợp với động cơ điện.
Mũi khoan đảm bảo về mặt bảo vệ sinh và an toàn sinh học, công việc làm mát luôn được chú trọng. Hệ thống phun nước bên ngoài bao gồm 3 tia góp phần làm mát cho mũi khoan bằng dung dịch nước muối sinh lý vô trùng. Tất cả các tay khoan đến từ thương hiệu W&H đều có khả năng chống trầy xước và bảo vệ sinh một cách dễ dàng. Các tay khoan có thể được loại bỏ một cách dễ dàng mà không cần sử dụng công cụ.
Tay khoan góc 45 độ có độ cân bằng hoàn hảo
Một nhiệm vụ khác của tay khoan mới WS-91/WS91 LG là cắt tỉa. Tay khoan có cấu hình sinh học tinh vi chắc chắn cho các ca điều trị bệnh nhân có răng hàm và vòm miệng nhỏ. Đối với dụng cụ khoan tay WS-91 LG sẽ tích hợp thêm đèn LED mini + giúp chiếu sáng vào vùng phẫu thuật với chất lượng ánh sáng như ban ngày.
Hệ thống tắt đèn có điều kiện ánh sáng tốt giúp cho việc nghi ngờ và điều trị được diễn ra một cách hoàn hảo. Tay khoan phẫu thuật thẳng, bấm với đèn LED mini + cho ra nguồn ánh sáng độc lập. Trong tay khoan có 1 bộ phận phát nguồn tích hợp cung cấp năng lượng cho đèn LED phát sáng.
Tay khoan rãnh WS-91 và W-91 LG được thiết kế đầu tay khoan với góc 45º. Đây là sự kết hợp giữa tay khoan thẳng và tay khoan khuy. Với góc 45º sẽ giúp tay khoan có thể tiếp cận với khu vực phẫu thuật một cách dễ dàng hơn, giúp bác sĩ nha khoa có tầm nhìn tốt hơn vào vị trí góc phẫu thuật. Điều này thực sự rất hữu ích đối với các ca phẫu thuật cạo râu, cắt tỉa, cắt răng. Tay khoan hưu giúp cho nha sĩ có thể tiếp cận với hàm răng cưa một cách dễ dàng ngay cả khi bệnh nhân bị hạn chế mở miệng.
Tay khoan phẫu thuật thận trọng với tỷ lệ 1:2:7, bao gồm ba tia nước ở bên trong khi sử dụng mũi khoan phẫu thuật và cắt chuôi FG với đường kính 1,6mm. Công cụ có thể loại bỏ các bộ phận để thực hiện bảo vệ sinh một cách dễ dàng. Đầu của tay có góc nghiêng so với phần thân một góc 45º giúp bác sĩ nha khoa có tầm nhìn tốt hơn khi tiến hành điều trị.
Qua những thông tin hữu ích ở trên, chúng tôi hy vọng đã cung cấp cho bạn những kiến thức liên quan đến công việc phẫu thuật răng không giảm thiểu sang chấn. Để ca phẫu thuật không diễn ra nhanh chóng và giảm thiểu tối đa các biến chứng cho bệnh nhân sau phẫu thuật thì các phòng khám nha khoa phải lựa chọn ứng dụng phẫu thuật phù hợp, tích hợp công nghệ cao để hỗ trợ cho nha sĩ trong suốt quá trình khám và chữa bệnh.
Tham khảo thêm: Cách lựa chọn nồi hấp tiệt trùng nha khoa cho phòng khám