Các phương pháp điều trị thẩm mỹ nha khoa như tẩy trắng răng chỉ cải thiện màu sắc của răng, trong khi các vấn đề về cấu trúc như nứt hay sứt mẻ vẫn còn tồn đọng. Kỹ thuật veneer dán sứ mang đến một diện mạo hoàn toàn mới cho nụ cười của bạn vì các vấn đề về màu sắc và cấu trúc răng đều được giải quyết với mặt sứ VITA hoàn mỹ.
Kỹ thuật veneer dán sứ nha khoa
Nhiều người đánh giá kỹ thuật veneer chỉ đem lại một lớp mặt nạ bảo vệ răng, khó duy trì được lâu và dễ rơi khỏi mặt bám. Tuy nhiên những mặt dán veneer này được làm bằng mặt dán sứ chất lượng cao nhất được ADA phê chuẩn, những vấn đề trên đều nằm trong tầm kiểm soát của mặt dán veneer. Nếu bạn đã sẵn sàng để cải thiện sức khỏe răng miệng và có nụ cười yêu thích, thì mặt dán veneer có thể là giải pháp dành cho bạn.
Kỹ thuật veneer dán sứ là gì?
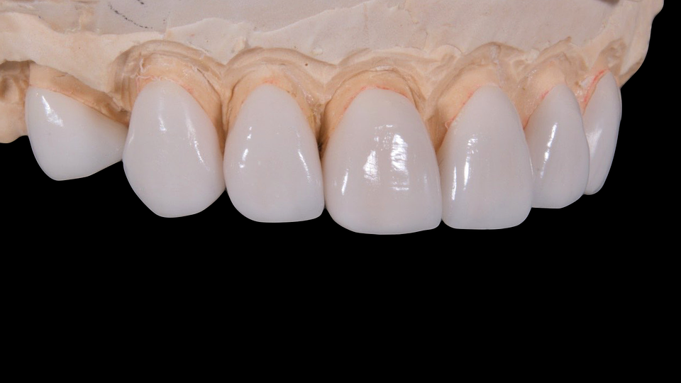
Kỹ thuật Veneer dán sứ là một trong những kỹ thuật phục hình thẩm mỹ hiện đại. Veneer giúp khắc phục một số khuyết điểm trên răng như tình trạng nhiễm màu tetra, răng thưa nhẹ, mẻ,… nhằm kiến tạo nụ cười rạng rỡ hơn. Để thực hiện, Bác sĩ tiến hành mài một lớp mỏng trên răng khoảng 0.3 – 0,5mm, sau đó dán miếng sứ veneer lên bề mặt răng để che đi các khiếm khuyết. Ngoài ra, phương pháp điều trị này còn đem đến tính thẩm mỹ cao vì các miếng dán sứ Veneers được chế tạo riêng để phù hợp với răng tự nhiên của bạn về kích thước và hình dạng.

Từ những năm 1930, mặt dán răng đã được sử dụng để cải thiện tính thẩm mỹ và bảo vệ răng. Đây được xem như bước đột phá mới trong công nghệ phục hình thẩm mỹ nha khoa bởi các đặc tính ưu việt vượt trội so với công nghệ bọc sứ trước đây và được rất nhiều khách hàng tin tưởng lựa chọn. Mặt dán veneers hiện nay được làm từ sứ hoặc composite. Cả hai đều ưu và khuyết điểm riêng, tùy thuộc vào ca bệnh mà nha sĩ sẽ tư vấn giải pháp vật liệu phù hợp. Tuy nhiên, veneer sứ phổ biến hơn một chút vì vật liệu có tính thẩm mỹ cao với vẻ ngoài trong mờ.
Ưu và nhược điểm của kỹ thuật veneer dán sứ
Ưu điểm
Kỹ thuật veneer dán sứ giúp bảo tồn tối đa cấu trúc răng thật vì chỉ cần mài một mỏng trên răng, khác với bọc răng sứ, không đòi hỏi nha sĩ phải can thiệp xâm lấn quá nhiều tới bề mặt men răng gốc của bạn. Đồng thời, mặt dán sứ veneer được chế tác bằng công nghệ cắt thủy lực hiện đại giúp đạt độ chính xác cao đến từng vân răng và độ mỏng đạt mức tối đa. Hơn nữa, veneer dán sứ cũng giúp hạn chế tình trạng ê buốt trong quá trình ăn nhai.
Dán sứ veneer an toàn và có độ tương thích sinh học cao vì được chế tác từ vật liệu sứ thủy tinh cao cấp và công nghệ CAD/CAM cắt sứ nguyên khối chuẩn xác đến từng chi tiết. Lớp sứ phủ ngoài có khả năng kháng mòn, chống bám màu tốt, độ cứng cao lên tới 400Mpa, chịu lực tốt và không gây kích ứng, không gây phản ứng hóa học và có độ tương thích sinh học cao trong môi trường răng miệng.
Dán sứ veneer đem lại hiệu quả thẩm mỹ tối đa. Trải qua quá trình ép nóng sứ 5 lớp với công nghệ hiện đại, nên độ mỏng của mặt dán veneer đạt mức tối đa chỉ từ 0.3mm đem đến mặt dán sứ veneer có độ trong mờ tự nhiên như răng thật mà vẫn đảm bảo răng trắng sáng, đều đặn. Do mặt dán veneer không yêu cầu nha sĩ phải can thiệp xâm lấn quá nhiều cũng không cần tốn nhiều thời gian căn chỉnh nên quy trình dán sứ veneer diễn ra rất nhanh chóng, thuận tiện cho khách hàng.

Nhược điểm
Kỹ thuật veneer chỉ có thể áp dụng cho các trường hợp răng gốc đã khá đều và thẳng, hoặc các trường hợp răng gốc chỉ lệch lạc nhẹ. Kỹ thuật này không thể áp dụng cho các trường hợp sai lệch nặng hoặc sai khớp cắn. Bên cạnh đó, do công nghệ chế tạo đòi hỏi sự tỉ mỉ và kỹ thuật cao nên chi phí cho mỗi mặt dán veneer cũng không rẻ, trung bình dao động từ 8 cho đến 12 triệu đồng cho mỗi đơn vị răng tùy vào vật liệu cũng như giá trị thương hiệu.

Những trường hợp nào nên dán sứ veneer
Kỹ thuật veneer là phương pháp phục hình răng hiệu quả cho các trường hợp dưới đây:
- Chân răng ngắn, răng bị mòn hoặc sứt mẻ nhẹ
- Rưa thưa kẽ, hở kẽ chân răng nhẹ
- Răng bị xô lệch nhẹ, kích thước răng to nhỏ không đều nhau
- Răng xỉn màu, ố vàng do nhiễm màu kháng sinh tetracycline, do hút thuốc, sử dụng nhiều thực phẩm có màu như trà, cà phê,… đã tẩy trắng nhiều lần nhưng không đem lại hiệu quả như mong muốn.
- Khách hàng mong muốn thay đổi hình thể, màu sắc răng, độ trong của men răng mà không muốn can thiệp xâm lấn, mài nhỏ răng
Các trường hợp không phù hợp với phương pháp kỹ thuật veneer bao gồm:
- Các trường hợp sai lệch khớp cắn, răng khấp khểnh, mọc lệch lạc nặng
- Viêm nha chu; men răng không đủ
- Răng sâu, răng hỏng tủy hoặc đã điều trị tủy;
- Mất răng hoặc khe thưa giữa các răng quá lớn.
Mua ghế nha khoa cao cấp tại N.K.LUCK
Các dòng sứ veneer trên thị trường hiện nay
Với sự phát triển vượt bậc của khoa học – công nghệ, ngày càng có nhiều loại mặt dán sứ veneer khác nhau được ra đời. Phân loại theo nguyên vật liệu thì mặt dán veneer có 2 loại là mặt dán veneer sứ và mặt dán veneer nhựa composite.
Mặt dán veneer nhựa composite là dòng sản phẩm được chế tác từ một loại nhựa tổng hợp. Ưu thế áp đảo của dòng trên chính là giá thành, nhờ chất liệu sản xuất nên veneer composite có mức giá rẻ hơn rất nhiều so với các miếng dán sứ khác và ắt hẳn đây cũng là lý do vì sao chúng được ưa chuộng rộng rãi đến vậy. Trong trường hợp răng bị hỏng, khách hàng hoàn toàn có thể tiến hành sửa chữa nhanh chóng và cũng không hề tốn kém chi phí. Tuy nhiên, bạn cần lưu ý rằng mặt dán veneer composite vì làm từ nhựa nên sẽ dễ bị đổi màu do thực phẩm trong quá trình ăn uống hàng ngày.

Loại mặt dán veneer sứ là loại được khách hàng cực kỳ ưa chuộng và cũng là sản phẩm phổ biến trên thị trường. Hiện nay có rất nhiều loại mặt dán veneer sứ khác nhau với nhiều phân khúc giá cho khách hàng lựa chọn. Các dòng mặt dán cao cấp thường được chế tác từ sứ Cerinate. Cerinate là một loại sứ cao cấp với độ trong mờ cao. Nên khi phục hình trên răng sẽ tạo được cảm giác tự nhiên và đầy thẩm mỹ.
Phân khúc mặt dán thông thường thì có nguồn gốc từ sứ Zirconia. Ưu điểm vượt trội của mặt dán sứ veneer Zirconia là khả năng chịu lực tốt, độ bền cao, không bị mài mòn dưới tác động của vi khuẩn có hại hay áp lực trong quá trình ăn nhai, axit từ thực phẩm. Một điểm cộng khác là chất liệu sứ Zirconia còn được các bác sĩ đánh giá cao bởi độ trong mờ, đường vân, rìa cắn có tỷ lệ giống với răng thật.
Phân loại theo nguồn gốc thì số lượng nhà cung cấp khá ít. Các thương hiệu sản xuất mặt dán veneer phổ biến trên thị trường hiện nay là Vivadent Đức – Vita Đức – GC Nhật Bản. Mỗi loại mặt dán sứ lại có đặc tính riêng để khách hàng lựa chọn phù hợp với tình trạng răng và mong muốn của mình.

Vì sao mặt dán sứ VITA veneer là lựa chọn hàng đầu hiện nay
Được thành lập vào năm 1924 tại Essen – Đức, VITA có trụ sở chính ở Bad Sackingen, Đức. Các đối tác và đại lý bán hàng của VITA có mặt tại hơn 150 quốc gia với sản phẩm được phân phối trực tiếp từ Bad Sackingen. VITA dẫn đầu quốc tế trong lĩnh vực cung cấp thiết bị và vật liệu nha khoa. Tại Việt Nam, công ty vật tư nha khoa N.K.Luck là nhà phân phối chính các dòng sản phẩm của VITA, nổi bật nhất là các dòng bột sứ dùng cho kỹ thuật veneer.
Mặt dán sứ Vita veneer được chế tác hoàn toàn từ các dòng sứ thuần khiết. Sứ Vita được các chuyên gia, nha sĩ trên thế giới đánh giá là một trong những loại sứ dùng chế tạo mặt dán có chất lượng cao, đáp ứng hiệu quả các yêu cầu về kỹ thuật veneer phục hình nha khoa. Mặc dù không phải là loại sứ tốt nhất, nhưng chúng đáp ứng được những yêu cầu về mặt phục hình cũng như mang lại hiệu quả cải thiện chức năng ăn nhai và thẩm mỹ cho răng. Dưới đây là một số ưu điểm của mặt dán sứ Vita.
Tính thẩm mỹ cao
Mặt dán sứ Vita veneer có ưu điểm nổi bật là đem đến nụ cười tự nhiên. Mặt dán sứ VITA veneer không gây ra tình trạng thâm đen viền nướu, không bị hiện tượng đục như răng sứ kim loại, răng trắng đẹp tự nhiên, màu sắc đẹp như răng thật. Trong trường hợp bạn có màu răng gốc tối, xỉn màu nặng, răng nhiễm kháng sinh độ cao thì mặt dán sứ VITA VMK Master hay VITA MP9 là lựa chọn hoàn hảo cho tình trạng răng này.

Mặt dán sứ VITA veneer lành tính, an toàn
Được chế tác từ bột sứ chất lượng cao nên mặt dán sứ VITA veneer có khả năng tương thích sinh học tốt. Sau khi phục hình, răng sứ không bị oxi hóa trong môi trường miệng, không gây kích ứng cho răng nướu, lành tính và an toàn với sức khỏe răng miệng. Bên cạnh đó, khách hàng cần có những lưu ý nhất định để kéo dài tuổi thọ cho mặt dán cũng như bảo vệ sức răng miệng của bản thân.
Độ cứng chắc và che phủ cao
Răng tự nhiên có khả năng chịu lực 80 – 120Mpa. Còn mặt dán veneer sứ có khả năng chịu lực lên tới 450 – 500 Mpa. Điều này đảm bảo sau khi dán mặt sứ veneer có thể ăn uống thoải mái mà không lo vỡ, sứt, mẻ. Tuổi thọ của chúng có thể duy trì lâu dài lên tới 10-15 năm mà không thay đổi tính chất nếu được chăm sóc đúng cách. Bên cạnh đó, mặt dán được làm từ bột sứ VITA veneer thuần khiết đem đến độ che phủ tối đa với độ sáng tự nhiên cho nụ cười rạng rỡ.

Bột sứ VITA được nhiều nha sĩ đánh giá là vua của các loại sứ. Tính chất tương tự như men răng cùng độ tương thích sinh học cao là yếu tố tạo nên các loại mặt dán sứ VITA chất lượng. Sử dụng mặt dán chất lượng là giải pháp hiệu quả để ngăn chặn vi khuẩn xây dựng tượng đài trên răng của bạn. N.K.Luck hân hạnh đồng hành cùng các phòng Labo nha khoa đem đến nụ cười tự nhiên cho khách hàng qua mặt dán sứ VITA veneer hoàn mỹ.
Xem thêm:
Vật liệu Veneer Vita chất lượng từ Đức
So sánh top 4 loại ghế nha khoa được ưa chuộng nhất