Răng là bộ phận vô cùng quan trọng, ảnh hưởng trực tiếp đến vẻ ngoài cũng như sức khỏe chung của chúng ta. Việc bảo vệ và chăm sóc răng miệng chu đáo luôn được coi trọng. Mài răng bọc sứ là quy trình thẩm mỹ phổ biến trong lĩnh vực nha khoa. Tuy nhiên, nhiều người lo ngại liệu quy trình này có đau không và có ảnh hưởng đến sức khỏe không. Hãy cùng N.K.Luck tìm hiểu về quy trình thực hiện mài răng bọc sứ, đồng thời làm rõ những thắc mắc liên quan đến vấn đề này.
Giới thiệu về mài răng bọc sứ
Mài răng bọc sứ là kỹ thuật nha khoa hiện đại, có nguyên lý là bọc một lớp vật liệu sứ có độ cứng cao lên bề mặt răng bằng áp suất và tạo hình.
Bắt đầu quy trình, nhân viên y tá sẽ lấy dấu ấn kỹ thuật số của hàm răng để thiết kế hình dạng vị trí răng mong muốn. Sau đó, những miếng vỏ sứ mỏng manh được áp lên từng răng theo thiết kế. Quá trình polymer hóa sẽ khiến lớp vỏ sứ này gắn chặt và bao bọc lên toàn bộ bề mặt răng. Nha sĩ sẽ bắt đầu mài bỏ một phần nhỏ mặt ngoài của răng và gắn lên một lớp men sứ mỏng. Khi hoàn tất, người sở hữu sẽ có được hàm răng trắng sáng, đều đẹp hơn trước, tạo nên một nụ cười tự nhiên.
Đây là phương pháp phổ biến hiện nay nhờ hiệu quả và thẩm mỹ cao. Mài răng bọc sứ đã giúp tạo ra nụ cười tự nhiên cho người sở hữu.
>>> Xem thêm: Ưu nhược điểm của việc bọc răng sứ theo góc nhìn chuyên gia

Giới thiệu về mài răng bọc sứ
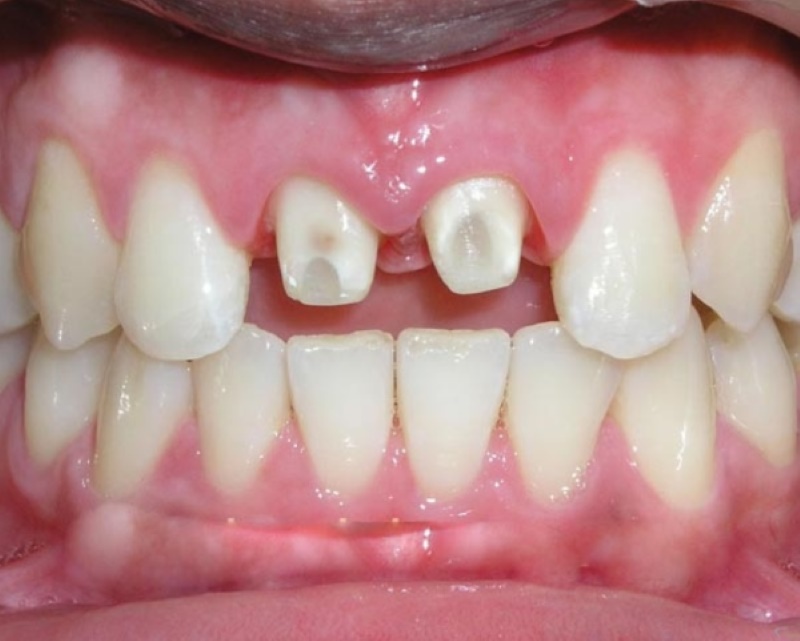
Vị trí răng nào cần mài răng bọc sứ?
Khi làm răng sứ, việc cần mài răng phụ thuộc vào mục đích phục hình cũng như tình trạng răng của từng người. Nếu làm răng sứ thẩm mỹ, thông thường chỉ cần mài chỉnh những răng cần phục hình. Còn khi phục hình mất răng bằng cầu sứ, cần mài 2 răng bên cạnh để cầu sứ che được khoảng trống.
Tuy nhiên, nếu khoảng cách răng hẹp, vị trí sai lệch nhiều thì có thể phải mài thêm một số răng lân cận để điều chỉnh vị trí, khoảng cách răng được di chuyển dễ dàng hơn. Người cần làm răng cần đi đến khám tại các cơ sở nha khoa uy tín, nha sĩ sẽ thăm khám, chụp chiếu và đưa ra phương án mài răng phù hợp từng trường hợp cụ thể. Điều này nhằm đảm bảo hiệu quả phục hình sau khi làm răng sứ.
>>> Xem thêm: Kinh nghiệm dành cho người mới làm răng sứ thẩm mỹ

Vị trí răng cần mài răng bọc sứ
Mài răng bọc sứ có đau không?
Những người có kinh nghiệm trong nha khoa sẽ thực hiện quy trình mài răng bọc sứ một cách cẩn thận và chuyên nghiệp. Trong quá trình mài, nha sĩ sẽ sử dụng các công cụ nha khoa chuyên dụng để loại bỏ một phần nhỏ của men răng. Thậm chí, có thể sử dụng thuốc tê cục bộ để giảm đau cho bệnh nhân.
Tuy nhiên, không phải ai cũng có cảm giác đau trong quá trình mài răng bọc sứ. Mỗi người có ngưỡng đau khác nhau, do đó, mức độ đau nhức có thể dao động từ nhẹ đến trung bình. Đa số các bệnh nhân đều cho biết rằng quy trình mài răng bọc sứ không gây đau đớn đáng kể.

Mài răng bọc sứ có đau hay không sẽ tùy thuộc vào mỗi người
Tham khảo thêm>>
- Quy trình bọc răng sứ thẩm mỹ
- Bọc răng sứ không mài bao nhiêu tiền?
- Bọc răng sứ có bị hôi miệng không?
Mài răng bọc sứ có ảnh hưởng gì đến sức khỏe không?
Mài răng bọc sứ là kỹ thuật nha khoa được đánh giá là an toàn nếu thực hiện đúng quy trình và bởi bác sĩ có chuyên môn. Tuy nhiên, bạn vẫn cần lưu ý một số rủi ro có thể gặp phải:
Nhạy cảm sau quy trình mài răng
Sau khi mài, răng có thể tạm thời nhạy cảm với đồ nóng, lạnh hoặc lực nhai. Nếu mão sứ gắn không đúng vị trí, có thể gây sai lệch khớp cắn và dẫn đến cảm giác ê buốt, đau nhức kéo dài. Trường hợp mài không đúng tỷ lệ hoặc kỹ thuật không chính xác có thể khiến răng thật suy yếu, giảm chức năng ăn nhai.
Rủi ro viêm nhiễm
Nếu không tuân thủ quy trình vô trùng hoặc vệ sinh không kỹ trong quá trình thực hiện, vi khuẩn có thể xâm nhập, gây ra các tình trạng viêm như:
- Viêm nướu và hôi miệng: Khi mão sứ không ôm khít với răng, kẽ hở tạo điều kiện cho mảng bám và vi khuẩn phát triển, dẫn đến viêm nướu và hơi thở có mùi.
- Viêm tủy răng: Trường hợp mài quá sâu, đặc biệt ở răng có nền tảng yếu hoặc tủy răng nhạy cảm, có thể làm tổn thương tủy và gây viêm.
Sứ răng bị vỡ hoặc nứt
Nếu kỹ thuật mài và gắn sứ không chuẩn xác, hoặc lực nhai không được phân bổ đều, mão sứ dễ bị nứt, vỡ. Điều này không chỉ ảnh hưởng đến thẩm mỹ mà còn làm hỏng răng thật bên trong, gây khó khăn trong việc phục hình lại. Để hạn chế tối đa các rủi ro trên, bạn nên thực hiện bọc sứ tại các nha khoa uy tín, nơi có trang thiết bị hiện đại và đội ngũ bác sĩ nhiều kinh nghiệm.

Mài răng bọc sứ không ảnh hưởng đáng kể đến sức khỏe
Trường hợp nào cần phải mài răng?
Mài răng là một thủ thuật can thiệp vào mô cứng của răng, nhằm tạo hình phù hợp để thực hiện các phục hình như dán sứ, bọc răng sứ hoặc làm cầu răng. Dù có thể gây ê buốt nhẹ, nhưng với công nghệ hiện đại và gây tê cục bộ, cảm giác khó chịu sẽ được kiểm soát hiệu quả.
Dán sứ Veneer
Đối với các răng có khuyết điểm như thưa, lệch nhẹ, xỉn màu, nứt vỡ hoặc hình thể xấu, mài răng là bước cần thiết để tạo độ bám cho miếng dán sứ. Trong trường hợp này, bác sĩ chỉ cần mài một lớp men răng rất mỏng (khoảng 0.2 – 0.5mm) ở mặt ngoài để tạo độ nhám, giúp Veneer bám chắc và đều màu với răng thật.
Làm cầu răng sứ
Khi bệnh nhân bị mất một hoặc nhiều răng, làm cầu răng sứ là phương pháp phục hình phổ biến. Để thực hiện, bác sĩ sẽ mài hai răng thật nằm kế bên khoảng trống mất răng để tạo thành trụ nâng đỡ cho cầu răng. Mặc dù phải mài nhiều mô răng hơn so với dán sứ, nhưng đây là cách phục hồi khả năng ăn nhai và tính thẩm mỹ hiệu quả.
Bọc răng sứ
Bọc răng sứ toàn phần thường được chỉ định cho răng bị sâu lớn, mẻ vỡ nặng, mòn men hoặc sau khi điều trị tủy. Trong quy trình này, bác sĩ sẽ mài toàn bộ thân răng theo tỉ lệ phù hợp để tạo cùi răng, sau đó gắn mão sứ lên trên. Việc mài đúng kỹ thuật sẽ giúp mão sứ ôm khít, không cộm và đảm bảo khớp cắn chính xác.
Điều chỉnh hình thể răng
Trong một số trường hợp thẩm mỹ, bác sĩ có thể mài nhẹ răng để điều chỉnh các răng quá dài, mẻ nhỏ hoặc lệch nhẹ mà không cần phục hình sứ. Tuy nhiên, nếu không bọc lại bằng sứ, việc mài chỉ nên thực hiện rất hạn chế để tránh ảnh hưởng đến lớp men răng và bảo vệ tủy. Mài răng thẩm mỹ không đúng kỹ thuật có thể dẫn đến ê buốt kéo dài hoặc yếu răng về sau.
Làm thế nào để giảm đau khi mài răng bọc sứ?
Để giảm đau và tạo sự thoải mái trong quá trình mài răng bọc sứ, bạn có thể áp dụng các biện pháp sau:
Sử dụng thuốc tê cục bộ
Nếu bạn lo lắng sẽ bị đau trong quá trình mài răng, hãy thảo luận với nha sĩ về việc sử dụng thuốc tê cục bộ. Thuốc tê sẽ giúp làm giảm cảm giác đau và làm cho quá trình bọc răng sứ trở nên thoải mái hơn.
Thực hiện chăm sóc sau quy trình
Chăm sóc sau quy trình mài răng bọc sứ rất quan trọng để giảm đau và tránh các vấn đề khác. Hãy tuân thủ các hướng dẫn của nha sĩ về chăm sóc sau quy trình bao gồm cách chải răng, sử dụng chỉ nha khoa và đặc biệt là tránh ăn những thức ăn cứng trong vài ngày sau quy trình.
>>> Xem thêm: Máy tăm nước + Bàn chải đánh răng sóng âm Complete Care 5.0 – WP-861

Cách giảm đau khi mài răng bọc sứ
Những điều cần lưu ý trước và sau khi mài răng bọc sứ
Để đạt được kết quả như mong muốn và hạn chế rủi ro, bạn nên chuẩn bị kỹ lưỡng cả trước và sau khi thực hiện mài răng bọc sứ theo hướng dẫn sau đây của N.K.Luck.
Trước khi tiến hành mài răng bọc sứ
Trước khi bước vào quá trình mài răng, bạn cần có sự chuẩn bị kỹ lưỡng về cả kiến thức, tâm lý lẫn sức khỏe răng miệng như sau:
- Lựa chọn nha khoa đáng tin cậy: Hãy ưu tiên những phòng khám có đội ngũ bác sĩ chuyên môn cao, giàu kinh nghiệm trong phục hình răng sứ. Trang thiết bị hiện đại và quy trình vô trùng cũng là những yếu tố giúp đảm bảo an toàn trong quá trình mài răng và bọc sứ.
- Hiểu rõ quy trình thực hiện: Trước khi quyết định, bạn nên tìm hiểu kỹ về các bước mài răng, cách chọn loại sứ phù hợp và những rủi ro có thể gặp để chuẩn bị tâm lý và tài chính phù hợp.
- Kiểm tra và điều trị răng miệng toàn diện: Nếu đang gặp phải các bệnh lý như viêm lợi, sâu răng, tụt nướu,… bạn nên điều trị triệt để trước khi bọc sứ để tránh biến chứng hoặc làm giảm tuổi thọ của răng sứ sau này.
- Chọn loại răng sứ thích hợp: Tùy vào nhu cầu thẩm mỹ, khả năng tài chính và tình trạng răng cụ thể, bạn nên tham khảo tư vấn từ bác sĩ để đưa ra lựa chọn phù hợp giữa răng toàn sứ, sứ kim loại hoặc các dòng cao cấp khác.
Sau khi mài răng bọc sứ
Việc chăm sóc răng miệng đúng cách sau quá trình mài sẽ quyết định độ bền, tính thẩm mỹ cũng như sức khỏe răng miệng về lâu dài.
- Chăm sóc răng miệng kỹ lưỡng: Duy trì việc chải răng đúng cách ít nhất 2 lần mỗi ngày, kết hợp chỉ nha khoa và nước súc miệng kháng khuẩn để làm sạch khu vực quanh viền nướu và kẽ răng.
- Ăn uống có chọn lọc: Hạn chế sử dụng thực phẩm quá cứng, dẻo hoặc có nhiệt độ quá cao/thấp. Các món ăn chứa nhiều đường cũng nên được tiết chế để tránh tạo môi trường thuận lợi cho vi khuẩn.
- Tái khám định kỳ tại nha khoa: Đừng bỏ qua lịch kiểm tra răng miệng mỗi 6 tháng. Việc theo dõi định kỳ giúp bác sĩ kịp thời phát hiện các vấn đề bất thường như hở cổ răng, viêm nướu hoặc răng sứ bị sứt mẻ.
- Tránh các thói quen có hại: Không hút thuốc lá, cắn móng tay hay nghiến răng vào ban đêm vì đây là những yếu tố dễ làm giảm độ bền và làm xỉn màu răng sứ theo thời gian.
- Bảo vệ răng khi chơi thể thao: Nếu bạn tham gia các hoạt động có nguy cơ va đập vùng mặt như bóng đá, võ thuật,… hãy sử dụng dụng cụ bảo vệ hàm để giảm nguy cơ răng sứ bị tổn thương.
Mài răng bọc sứ là quy trình thẩm mỹ phổ biến trong lĩnh vực nha khoa. Dù có thể gây ra một số cảm giác đau và nhạy cảm tạm thời, nhưng nó không gây ảnh hưởng đáng kể đến sức khỏe chung của bạn. Để giảm đau và tạo sự thoải mái trong quá trình, hãy thảo luận với nha sĩ về việc sử dụng thuốc tê cục bộ và tuân thủ các hướng dẫn chăm sóc sau quy trình.
Nếu quý bác sĩ đang có nhu cầu tìm hiểu thêm về vật liệu phục vụ cho quá trình bọc răng sứ, hãy tham khảo các sản phẩm tại N.K.Luck Việt Nam – đơn vị uy tín cung cấp các thiết bị, vật liệu nha khoa. Hãy lựa chọn N.K.Luck để an tâm về chất lượng và trải nghiệm dịch vụ chuyên nghiệp!