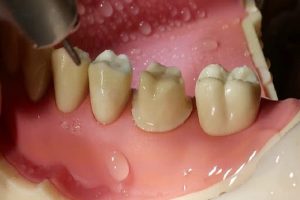
Mài cùi răng là một trong các phương pháp phổ biến được áp dụng trong quá trình phục hình và cải thiện thẩm mỹ cho hàm răng. Tuy nhiên, vì đây là một kỹ thuật có tính xâm lấn đối với răng, nó thường chỉ được sử dụng trong các tình huống cần thiết. Vì [...]
Mài cùi răng là gì? Kỹ thuật mài cùi răng cho răng cửa, răng hàm
Để thực hiện việc đặt mão sứ bên ngoài răng, bác sĩ sẽ tiến hành việc mài cùi răng một cách nhẹ nhàng để tạo ra một bề mặt cùi. Đây là một kỹ thuật phức tạp và đòi hỏi sự tỉ mỉ, cần phải được thực hiện bởi các bác sĩ nha khoa có [...]
Quy trình vô trùng dụng cụ nha khoa đạt tiêu chuẩn quốc tế
Phần lớn các dụng cụ Nha Khoa đều có thể tái sử dụng nếu được làm sạch, khử nhiễm và vô trùng (trừ các vật dụng dùng một lần). Tuy vậy, quy trình vô trùng dụng cụ nha khoa không đơn giản mà đòi hỏi Bác sĩ phải có kỹ thuật và được Nhà cung [...]
Cách chọn màu răng sứ thẩm mỹ đẹp tự nhiên
Răng sứ là một giải pháp thẩm mỹ nha khoa hiện đại, giúp khắc phục những khuyết điểm về hình dạng, kích thước và màu sắc của răng. Tuy nhiên, không phải ai cũng biết cách chọn màu răng sứ thẩm mỹ sao cho phù hợp với khuôn mặt, làn da và nụ cười của [...]
Hàm răng tháo lắp cao cấp giá bao nhiêu? Loại nào tốt nhất?
Trong trường hợp bạn muốn phục hình nhanh chóng và tiết kiệm tình trạng mất nhiều răng hoặc mất răng toàn hàm thì răng tháo lắp cao cấp sẽ là lựa chọn tốt cho bạn. Nếu bạn cũng đang tìm hiểu về loại răng này, hãy cùng N.K.LUCK tìm hiểu chi tiết qua bài viết [...]
Nên lựa chọn máy cắm Implant như thế nào để tối ưu hoá quá trình cấy ghép?
Nếu bạn đang tìm kiếm một máy cắm Implant chất lượng cao, an toàn, chính xác và bền bỉ để tối ưu quá trình chăm sóc nha khoa cho bệnh nhân thì ImplantMED là một sự lựa chọn lý tưởng. Hãy cùng chúng tôi tìm hiểu xem những điều cần lưu ý trước khi sở [...]
Tay Khoan Phẫu Thuật W&H – Bền Bỉ, Thiết Kế Khoa Học Và Độ Chính Xác Cao
Các Bác Sĩ luôn tìm kiếm những sản phẩm tay khoan phẫu thuật sao cho cầm chắc tay, thao tác thuận tiện, hỗ trợ tích cực trong quá trình điều trị của mình.Tay khoan còn phải dễ dàng vệ sinh, thuận tiện tra dầu và quan trọng là có thể hấp tiệt trùng được. Tay [...]
Chương Trình Đồng Hành Cùng Khoa RHM – Đại Học Trà Vinh
N.K.LUCK Việt Nam trân trọng gửi lời cám ơn tới Trường Đại Học Trà Vinh về cơ hội đứng tại giảng đường để gặp Quý thầy cô và giao lưu tương tác cùng các bạn sinh viên ngành RHM. N.K.LUCK ở lần đồng hành này gửi gắm tới Quý thầy cô, cùng các bạn sinh [...]
Lợi ích kinh tế lâu dài với giải pháp tự sản xuất khí cụ máng chỉnh nha công nghệ Scheu Dental tiên tiến nhất
Trong lĩnh vực nha khoa, việc sử dụng máng chỉnh nha để điều trị các vấn đề về răng miệng đang ngày càng trở nên phổ biến. Tuy nhiên hiện nay, nhiều phòng khám vẫn còn lệ thuộc vào việc đặt máng chỉnh nha bên ngoài. Việc này gây ra nhiều khó khăn cho phòng [...]
CHỨNG CHỈ QUYỀN NĂNG – CHĂM SÓC TRỌN VẸN NHA KHOA VIỆT
Ngày 8/4/2023 vừa qua, N.K.LUCK Việt Nam hân hạnh tiếp đón tiếp Mr. Günther Kneißl – chuyên gia kỹ thuật từ W&H (Áo). Trong chuyến tham quan khu vực này, ông đã đánh giá cao N.K.LUCK – đơn vị phân phối W&H duy nhất tại Việt Nam đạt yêu cầu tiêu chuẩn Quality Service W&H [...]
Giảm áp lực và nâng cao năng suất làm việc tại phòng khám nha khoa
Ngành y tế Việt Nam đang đứng trước nhiều thách thức sau đại dịch. Đặc biệt là khi thế giới đang bước vào vòng chu kỳ kinh tế suy thoái thì tình hinh càng ảm đạm hơn. Đối mặt với nhiều áp lực là điều mà các phòng khám nha khoa khó tránh khỏi. Vậy [...]