Những bệnh lý về răng miệng đang ngày càng phổ biến ở mọi lứa tuổi. Việc thăm khám bằng mắt thường rất khó để nha sĩ chẩn đoán chính xác tình trạng nên phải sử dụng đến dịch vụ chụp X quang răng để xác định chính xác hơn. Để hiểu rõ hơn về dịch vụ này hãy cùng tham khảo qua bài viết sau.
Các loại chụp X quang răng
Hiện nay có khá nhiều dịch vụ chụp X quang răng khác nhau tùy theo nhu cầu của khách hàng.
Chụp X quang 01 răng
Phương pháp chụp X quang 01 răng là một kỹ thuật phổ biến để xác định vị trí chính xác của răng bị tổn thương và tình trạng của các răng xung quanh. Dịch vụ này thường được sử dụng trong các trường hợp như răng sâu, cần trám răng, lấy tủy răng và các dịch vụ khác liên quan đến răng.

Chụp X quang 01 răng giúp xác định tổn thương ở răng
Chụp X quang vòng quanh răng
Phương pháp này cho phép bác sĩ nhìn tổng quát về hàm trên và hàm dưới cũng như các răng giúp phát hiện các vấn đề răng miệng khó nhận biết bằng mắt thường.
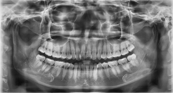
Chụp X quang toàn cảnh răng (chụp Panorama răng)
Đây là phương pháp chụp X quang được sử dụng để kiểm tra toàn bộ khoang miệng. Bằng cách sử dụng kỹ thuật chụp cắt lớp vi tính, nha sĩ có thể thấy rõ răng và mô xương. Trong quá trình chụp, bệnh nhân sẽ được bảo vệ bằng áo chì và cố định trên máy để thu được hình ảnh sắc nét của răng và xương hàm dưới.
Hình ảnh Panorama răng là một công nghệ chụp X quang cho thấy rõ về xương hàm trên và dưới, các thành phần lân cận như khớp thái dương hàm, xoang mũi. Kỹ thuật này cũng cho phép bác sĩ nhìn thấy toàn bộ hai cung răng trên một phim giúp chẩn đoán nhiều loại bệnh lý răng miệng như răng mọc lệch, răng mọc ngầm, u nang, áp xe và tổn thương xương hàm.
Ưu điểm của kỹ thuật Panorama răng là thời gian chụp nhanh, hình ảnh chất lượng cao, an toàn và phù hợp với mọi đối tượng, bao gồm cả trẻ em – nhóm khách hàng khó chụp X quang bằng các phương pháp truyền thống. Tuy nhiên, điểm trừ của phương pháp này là không phát hiện được những vấn đề như lỗ sâu răng, gãy xương, nhiễm trùng,…

Chụp X quang toàn cảnh răng tiện lợi
Chụp X quang răng 3 chiều
Công nghệ chụp X quang răng 3 chiều sử dụng kết hợp giữa máy X quang quay và thiết bị kỹ thuật số hiện đại. Kỹ thuật này cung cấp hình ảnh 3D của mô mềm, cơ, xương hàm, ống dây thần kinh và mạch máu. Đây là một công nghệ tiên tiến giúp chẩn đoán rõ ràng hơn về các bệnh lý răng miệng.
Chụp X quang quanh chóp
Kỹ thuật chụp X quang này chụp từ 14 – 21 phim để cung cấp hình ảnh toàn bộ răng từ răng cửa đến gốc răng và xương hỗ trợ răng, thường được sử dụng để tìm hiểu các vấn đề răng miệng dưới nướu hoặc trong hàm như u nang, khối u, răng cấm, mụn nhọt,…
Chụp X quang cánh cắn
Kỹ thuật này cho phép bác sĩ quan sát sự chạm nhau của răng hàm trên và dưới cũng như tình trạng mất xương trong trường hợp nhiễm trùng hoặc viêm nướu nặng.

Chụp X quang cánh cắn giúp xác định bệnh lý
Chụp X quang cắn
Phương pháp này tạo hình ảnh sàn miệng hoặc vòm miệng giúp phát hiện các vấn đề như răng khôn, mụn nhọt, u nang, sự phát triển mô bất thường, hở hàm ếch và các vật lạ trong khoang miệng.
Mục đích của việc chụp X quang răng
Chụp X quang răng là một kỹ thuật sử dụng tia X để tạo hình ảnh vùng hàm mặt trên một tấm phim hoặc tấm cảm biến kỹ thuật số, sau đó được xử lý để tạo thành hình ảnh hoàn chỉnh. Đây là một kỹ thuật không thể thay thế trong nha khoa vì những giá trị và lợi ích mà nó mang lại, cho phép thăm khám những vùng mà bác sĩ khó có thể quan sát bằng mắt thường, đồng thời lại an toàn, dễ thực hiện và có giá thành đa dạng. Chụp X quang răng mang lại cho người bệnh những lợi ích sau:
- Xác định hình thái và hướng mọc của răng: Kỹ thuật này giúp bác sĩ nhận biết rõ hình dáng và hướng mọc của răng, từ đó có thể tiến hành điều trị để tránh các vấn đề về chấn thương và thẩm mỹ của bệnh nhân.
- Chẩn đoán sớm các vấn đề về răng, nướu: Chụp X quang răng cho phép phát hiện và đánh giá mức độ nghiêm trọng của các vấn đề như viêm nhiễm, sâu răng, viêm tủy, mảng bám, viêm lợi, từ đó đưa ra khuyến cáo và điều trị kịp thời để tránh các biến chứng sau này.
- Quan sát các chi tiết sâu dưới chân răng: Kỹ thuật này giúp bác sĩ nhìn thấy các chi tiết quan trọng như mạch máu nhỏ quanh răng, ống dây thần kinh, giúp quá trình phẫu thuật nhổ răng diễn ra an toàn và hạn chế các biến chứng như chảy máu hay tổn thương dây thần kinh.
- Xác định mật độ xương hàm: Chụp X quang răng cung cấp thông tin về mật độ xương hàm, giúp bác sĩ đánh giá sức khỏe của xương và phát hiện các vấn đề như u, nang, viêm nhiễm hay trong chấn thương.
- Theo dõi quá trình mọc răng ở trẻ nhỏ: Kỹ thuật này cho phép bác sĩ nha khoa theo dõi quá trình mọc các răng chưa gãy và các răng mọc ở trẻ nhỏ.
- Can thiệp thẩm mỹ: Các can thiệp thẩm mỹ như bọc răng, niềng răng, làm răng giả đều được điều chỉnh và đánh giá qua chụp X quang răng, giúp bác sĩ nha khoa có cái nhìn tổng quan và hạn chế các tai biến có thể xảy ra khi thực hiện các thủ thuật này.
>>> Xem thêm: Bọc răng sứ có bị hôi miệng không

Chụp X quang răng giúp phát hiệu các bệnh nguy hiểm tiềm ẩn
Quy trình chụp X quang răng được thực hiện như thế nào?
Vậy quy trình chụp X quang răng sẽ diễn ra như thế nào? Dưới đây là những giải đáp chi tiết nhất.
Trước khi thực hiện chụp X quang răng
Không có quá nhiều yêu cầu đặc biệt khi chụp X quang, bạn chỉ cần vệ sinh răng miệng sạch sẽ trước khi chụp là được.
Nếu bạn đã từng chụp X quang răng gần đây, nên mang theo bản sao hình ảnh để bác sĩ có thể xem và không cần thực hiện chụp lại. Đối với phụ nữ mang thai, nếu cần thiết phải chụp X quang răng, bác sĩ sẽ cân nhắc và có biện pháp bảo vệ như mặc áo chì hoặc đeo tạp dề để bảo vệ bụng, giảm thiểu tác động của tia X lên thai nhi.
Quy trình chụp X quang răng
Khi bước vào phòng chụp X quang, bác sĩ hoặc kỹ thuật viên sẽ hướng dẫn bạn ngậm miếng bìa cứng hoặc bìa nhựa để giữ phim X quang cố định khi chụp. Máy chụp X quang sẽ quay xung quanh đầu để ghi lại hình ảnh bên trong khoang miệng của bạn trong khi bạn có thể ngồi hoặc đứng tùy thuộc vào thiết bị.
Hiện nay, nhờ công nghệ kỹ thuật cao mà hình ảnh chụp sẽ được lưu trữ trực tiếp trên máy giúp nha sĩ dễ dàng theo dõi và đánh giá. Phương pháp này sử dụng lượng tia X ít hơn và hạn chế các tác động so với phương pháp chụp X quang truyền thống.

Quy trình thực hiện chụp X quang răng
Hướng dẫn đọc kết quả chụp X quang
Sau khi chụp X quang, bác sĩ sẽ xem và đọc kết quả. Họ sẽ giải thích cho bạn về các vấn đề được phát hiện và trả lời những câu hỏi liên quan đến sức khỏe răng miệng. Nếu bạn có bất kỳ câu hỏi nào về kết quả chụp X quang, đừng ngần ngại yêu cầu giải thích chi tiết hơn về tình trạng của răng miệng và các lựa chọn điều trị.
Kết quả bình thường
Sau đây là những kết quả X quang cho thấy sức khỏe răng miệng của bạn đang hoàn toàn bình thường và khỏe mạnh:
- Không phát hiện sâu răng.
- Không có tổn thương đến xương hỗ trợ răng.
- Không phát hiện chấn thương như gãy răng hoặc xương hàm.
- Không có dấu hiệu của khối u hoặc viêm nhiễm.
- Không thấy răng mọc lệch vị trí.
Kết quả bất thường
Nếu kết quả X quang xuất hiện một trong những dấu hiệu sau, bạn cần được bác sĩ tư vấn và chữa trị ngay lập tức:
- Phát hiện sâu răng trong lòng răng.
- Phát hiện tổn thương đến xương hỗ trợ răng.
- Phát hiện chấn thương như gãy răng hoặc xương hàm.
- Phát hiện u nang, khối u hoặc mụn nhọt.
- Phát hiện răng cấm, răng thêm và răng mọc lệch.
Qua bài viết trên hẳn là bạn đọc đã hiểu rõ hơn về dịch vụ chụp X- quang răng. Hy vọng bài viết có thể hữu ích cung cấp đến bạn những thông tin cần thiết nhất. Để cập nhật những kiến thức hữu ích về răng miệng, hãy truy cập vào website nkluck.vn nhé!