Với VistaScan Nano Easy, một máy quét phim X-quang hiện đại với chất lượng hình ảnh
tuyệt vời đáp ứng tuyệt vời mọi yêu cầu khắt khe. Triết lý thiết kế tối giản giúp Nano Easy dễ dàng bố
trí linh hoạt mọi vị trí trong phòng khám, việc chụp và quét phim X-quang nay chỉ cần thực hiện trong
“Một Nốt Nhạc”.
Hình ảnh chẩn đoán được số hóa trong các tấm phim size 0, 1, và 2 với chất lượng hiển
thị rõ nét.
- VistaScan Nano Easy được sử dụng kết hợp với phim IQ VistaScan để đảm bảo độ tin cậy chẩn đoán cao
hơn. - ID cá nhân của mỗi tấm hình IQ được lưu trong hình ảnh quét. Do đó, nếu chất lượng hình ảnh của một
tấm hình ảnh bắt đầu kém đi, nó có thể dễ dàng xác định được chính xác nguồn gốc tấm phim, giúp công
tác chẩn đoán luôn đảm bảo chất lượng hình ảnh luôn ở mức tốt nhất. - Một ưu điểm nổi trội khác là phần mềm sẽ hiển thị một thông báo cho người dùng khi tấm phim được đặt
sai vị trí, sai kích thước. - VistaScan Nano Easy được sáng tạo để chuyên gia hóa công việc của mình, điều này giúp cho thiết bị
ổn định vững vàng về mặt chất lượng độ bền và hiệu quả trong công việc. Đây là một lợi ích rõ ràng
cho bạn, cả về độ tin cậy và chất lượng.


- Size phim mặc định: 0, 1, 2
- Chất lượng hiển thị rõ nét
- Vận hành êm ái, tinh tế và hiện đại
- Kích thước nhỏ gọn
- Chi phí bảo trì, bảo dưỡng thấp
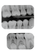
01. Hình ảnh độ phân giải cao cho chất lượng chẩn
đoán cực chất
VistaScan Nano Easy mang lại hình ảnh sắc nét hơn đáng kể so với phim X-quang.
Hiển thị rõ hơn, chính xác hơn các vết thương ở mức sâu răng D1 và dụng cụ nội nha lên đến ISO 06.
02. VẬN HÀNH TRỰC QUAN
VistaScan Nano Easy mang lại hình ảnh sắc nét hơn đáng kể so với phim X-quang.
Hiển thị rõ hơn, chính xác hơn các vết thương ở mức sâu răng D1 và dụng cụ nội nha lên đến ISO 06.
03. ĐẶC ĐIỂM CHÍNH
VistaScan Nano Easy số hóa hình ảnh chẩn đoán trên phim IQ với các size phim 0,
1 và 2. Ngoài ra, 100% diện tích bề mặt hoạt động và quang phổ rộng. Xử lý hình ảnh trên phim KTS ở
VistaScan Nano Easy cũng đơn giản tương tự như phim analogue.
04. NHANH HƠN VÀ DỄ DÀNG HƠN
VistaScan Nano Easy có thể được vận hành bằng phần mềm Hình ảnh Dürr Dental hoặc
với phần mềm của bên thứ ba thông qua plug-in, hoặc TWAIN drivers. VistaScan Nano Easy tham gia vào
quy trình phẫu thuật một cách dễ dàng & mượt mà.
Thông số kỹ thuật
| Thông số kỹ thuật |
VistaScan Nano Easy |
| Kích thước đĩa film | S0, S1, S2 |
| Độ phân giải hình ảnh (Lp/mm) | 16.7 |
| Greyscale (bit) | 16 (65,538) |
| Trọng lượng (kg) | 4 |
| Kích thước (C x R x S mm) | 231 x 167 x 216 |
| Cổng kết nối PC | Network |

